missing translation for 'onlineSavingsMsg'
Learn More
Learn More
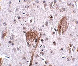
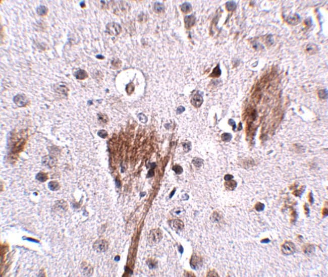
Invitrogen™ SPG11 Polyclonal Antibody

Rabbit Polyclonal Antibody
Brand: Invitrogen™ PA520683
This item is not returnable.
View return policy
Description
A suggested positive control is mouse heart tissue lysate. PA5-20683 can be used with blocking peptide PEP-0799.
Hereditary spastic paraplegias (HSPs) are genetically and phenotypically heterogeneous disorders. Spastic paraplegia with thinning of the corpus callosum (ARHSP-TCC) is a relatively frequent form of complicated hereditary spastic paraplegia (cHSP) in which mental retardation and muscle stiffness at onset are followed by slowly progressive paraparesis and cognitive deterioration. Mutations of the SPG11 gene encoding the spatacsin protein have been identified as a major cause of HSP-TCC. Spatacsin is a potential transmembrane protein that is phosphorylated upon DNA damage. It is expressed in all structures of the brain, with a high expression in the cerebellum. SPG11 mutations may occur more frequently in familial than sporadic forms of cHSP without TCC. Kjellin syndrome is found to be associated with mutations in not only the SPG15 gene but also SPG11 gene. Recent studies show Parkinsonism may initiate SPG11-linked HSP TCC and that SPG11 may cause juvenile Parkinsonism.
Specifications
| SPG11 | |
| Polyclonal | |
| Unconjugated | |
| SPG11 | |
| 6030465E24Rik; A330015I11; ALS5; C530005A01Rik; CMT2X; Colorectal carcinoma-associated protein; KIAA1840; RGD1562529; spastic paraplegia 11; spastic paraplegia 11 (autosomal recessive); spastic paraplegia 11 protein; Spastic paraplegia 11 protein homolog; spatacsin; Spg11 | |
| Rabbit | |
| Antigen affinity chromatography | |
| RUO | |
| 214585, 311372, 80208 | |
| Maintain refrigerated at 2-8°C for up to 3 months. For long term storage store at -20°C | |
| Liquid |
| Immunohistochemistry, Western Blot | |
| 1 mg/mL | |
| PBS with 0.02% sodium azide | |
| Q3UHA3, Q96JI7 | |
| SPG11 | |
| A 15 amino acid synthetic peptide near the carboxy terminus of human SPG11. | |
| 100 μg | |
| Primary | |
| Human, Mouse, Rat | |
| Antibody | |
| IgG |
Product Content Correction
Your input is important to us. Please complete this form to provide feedback related to the content on this product.
Product Title
Spot an opportunity for improvement?Share a Content Correction