missing translation for 'onlineSavingsMsg'
Learn More

Invitrogen™ SPAT5 Polyclonal Antibody

Rabbit Polyclonal Antibody

Brand:  Invitrogen™ PA557664

Product Code. 15715561

  • £469.00 / 100µL

Please to purchase this item. Need a web account? Register with us today!

This item is not returnable. View return policy

Description

Description

Immunogen sequence: SLELSLQLSQ LDLEDTQIPT SRSTPYKPID DRITNKASDV LLDVTQSPGD GSGLMLEEVT GLKCNFESAR EGNEQLT Highest antigen sequence identity to the following orthologs: Mouse - 65%, Rat - 65%.

This gene encodes a member of the ATPase associated with diverse activities family, whose members are defined by a highly conserved ATPase domain. Members of this family participate in diverse cellular processes that include membrane fusion, DNA replication, microtubule severing, and protein degradation. The protein encoded by this gene has a putative mitochondrial targeting sequence and has been proposed to function in maintenance of mitochondrial function and integrity during mouse spermatogenesis. Allelic variants in this gene have been associated with epilepsy, hearing loss, and cognitive disability syndrome. Alternative splicing results in multiple transcript variants.
TRUSTED_SUSTAINABILITY
Specifications

Specifications

SPAT5
Polyclonal
Unconjugated
SPATA5
2510048F20Rik; AFG2; ATPase family gene 2 homolog; ATPase family protein 2 homolog; C78064; EHLMRS; Spaf; Spata5; spermatogenesis associated 5; spermatogenesis associated factor; spermatogenesis associated factor SPAF; spermatogenesis-associated factor protein; Spermatogenesis-associated protein 5
Rabbit
Antigen affinity chromatography
RUO
166378
Store at 4°C short term. For long term storage, store at -20°C, avoiding freeze/thaw cycles.
Liquid
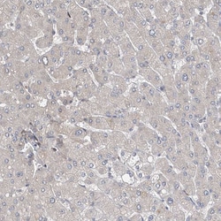
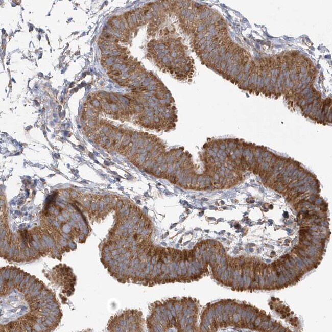
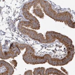
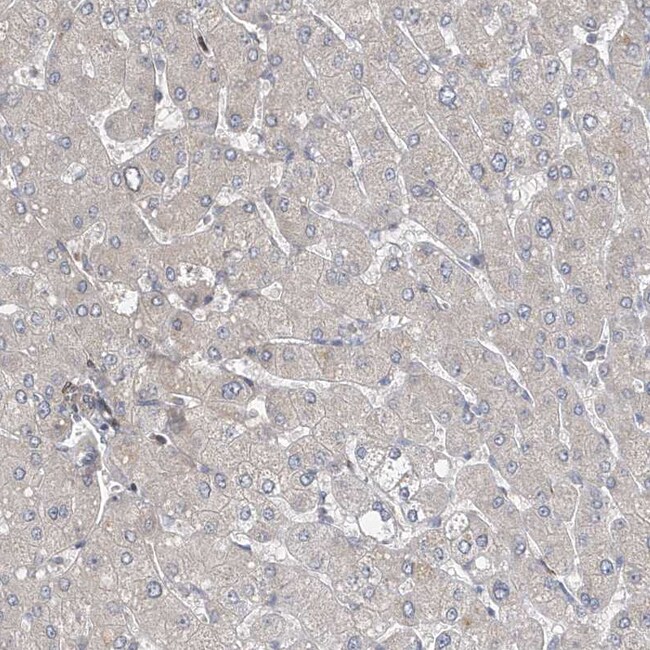
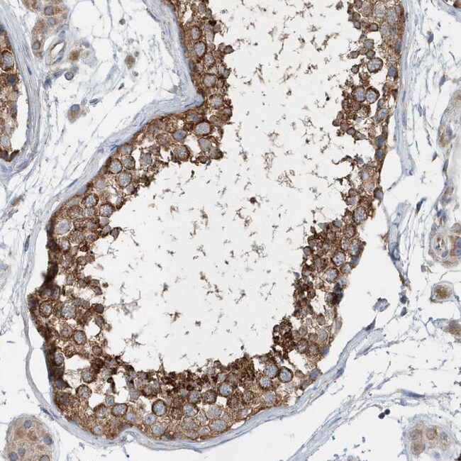
Immunohistochemistry (Paraffin), Western Blot, Immunocytochemistry
0.3 mg/mL
PBS with 40% glycerol and 0.02% sodium azide; pH 7.2
Q8NB90
SPATA5
Recombinant protein corresponding to Human SPAT5. Recombinant protein control fragment (Product #RP-102718).
100 μL
Primary
Human
Antibody
IgG
Product Suggestions

Product Suggestions

Videos
SDS
Documents

Documents

Product Certifications
Promotions

Promotions

Product Content Correction

Your input is important to us. Please complete this form to provide feedback related to the content on this product.

Product Title

By clicking Submit, you acknowledge that you may be contacted by Fisher Scientific in regards to the feedback you have provided in this form. We will not share your information for any other purposes. All contact information provided shall also be maintained in accordance with our Privacy Policy.

Thank You! Your feedback has been submitted. Fisher Scientific is always working to improve our content for you. We appreciate your feedback.