missing translation for 'onlineSavingsMsg'
Learn More

SOX12 Polyclonal Antibody, Invitrogen™

Product Code. 15595441
Change view
Click to view available options
Quantity:
100 μg
Unit Size:
100µg
1 product options available for selection
Product selection table with 1 available options. Use arrow keys to navigate and Enter or Space to select.
Product Code. Quantity unitSize
15595441 100 μg 100µg
Use arrow keys to navigate between rows. Press Enter or Space to select a product option. 1 options available.
1 options
This item is not returnable. View return policy
Product Code. 15595441 Supplier Invitrogen Supplier No. PA538525

Please to purchase this item. Need a web account? Register with us today!

This item is not returnable. View return policy

Rabbit Polyclonal Antibody

Members of the SOX family of transcription factors are characterized by the presence of a DNA-binding high mobility group (HMG) domain, homologous to the HMG box of sex-determining region Y (SRY). Forming a subgroup of the HMG domain superfamily, SOX proteins have been implicated in cell fate decisions in a diverse range of developmental processes. SOX transcription factors have diverse tissue-specific expression patterns during early development and have been proposed to act as target-specific transcription factors and/or as chromatin structure regulatory elements. The protein encoded by this gene was identified as a SOX family member based on conserved domains, and its expression in various tissues suggests a role in both differentiation and maintece of several cell types. [provided by RefSeq, Jan 2013].
TRUSTED_SUSTAINABILITY

Specifications

Antigen SOX12
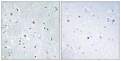
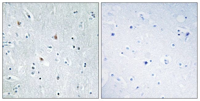
Applications Immunohistochemistry (Paraffin)
Classification Polyclonal
Concentration 1 mg/mL
Conjugate Unconjugated
Formulation Dulbecco′s PBS with 150mM NaCl, 50% glycerol and 0.02% sodium azide; pH 7.4
Gene SOX12
Gene Accession No. O15370, Q04890
Gene Alias SOX22
Gene Symbols SOX12
Host Species Rabbit
Immunogen A synthetic peptide derived from the internal region of human SOX12
Purification Method Antigen affinity chromatography
Quantity 100 μg
Regulatory Status RUO
Primary or Secondary Primary
Gene ID (Entrez) 20667, 6666
Target Species Human, Mouse
Content And Storage -20°C
Product Type Antibody
Form Liquid
Isotype IgG
Show More Show Less
Product Title
Select an issue

By clicking Submit, you acknowledge that you may be contacted by Fisher Scientific in regards to the feedback you have provided in this form. We will not share your information for any other purposes. All contact information provided shall also be maintained in accordance with our Privacy Policy.