missing translation for 'onlineSavingsMsg'
Learn More

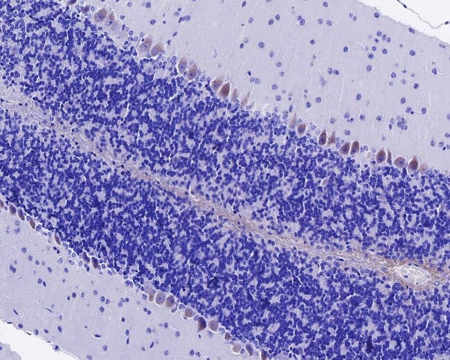
SorLA Antibody (JE35-52), Novus Biologicals™

Rabbit Monoclonal Antibody

Brand:  Novus Biologicals NBP3-32967

Product Code. 30116363

  • £377.00 / 100µL

Please to purchase this item. Need a web account? Register with us today!

This item is not returnable. View return policy

Description

Description

SorLA Monoclonal antibody specifically detects SorLA in Human,Mouse,Rat samples. It is validated for Immunohistochemistry,Western Blot,Immunohistochemistry (Paraffin)
TRUSTED_SUSTAINABILITY
Specifications

Specifications

SorLA
Monoclonal
1 mg/mL
Western Blot 1:1000, Immunohistochemistry, Immunohistochemistry-Paraffin 1:200-1:500
C11orf32, chromosome 11 open reading frame 32, FLJ21930, FLJ39258, gp250, Low-density lipoprotein receptor relative with 11 ligand-binding repeats, LR11LDLR relative with 11 ligand-binding repeats, LRP9, mosaic protein LR11, SorLA, SorLA-1SORLA, sortilin-related receptor, sortilin-related receptor, L(DLR class) A repeats containing, sortilin-related receptor, L(DLR class) A repeats-containing, Sorting protein-related receptor containing LDLR class A repeats
Recombinant protein within Human SorLA aa 1,341-1,540/ 2,214. (Uniprot: Q92673)
100 μL
Primary
Human, Mouse, Rat
Purified
Immunohistochemistry, Western Blot, Immunohistochemistry (Paraffin)
JE35-52
Unconjugated
1*TBS (pH7.4), 0.05% BSA and 40% Glycerol
Rabbit
Protein A purified
RUO
6653
Store at 4°C short term. Aliquot and store at -20°C long term. Avoid freeze-thaw cycles.
IgG
Product Suggestions

Product Suggestions

Videos
SDS
Documents

Documents

Certificates
Promotions

Promotions

Product Content Correction

Your input is important to us. Please complete this form to provide feedback related to the content on this product.

Product Title

By clicking Submit, you acknowledge that you may be contacted by Fisher Scientific in regards to the feedback you have provided in this form. We will not share your information for any other purposes. All contact information provided shall also be maintained in accordance with our Privacy Policy.

Thank You! Your feedback has been submitted. Fisher Scientific is always working to improve our content for you. We appreciate your feedback.