missing translation for 'onlineSavingsMsg'
Learn More

Invitrogen™ SOCS1 Recombinant Rabbit Monoclonal Antibody (6C6W1)

Rabbit Recombinant Monoclonal Antibody

Brand:  Invitrogen™ MA558005

 View more versions of this product

Product Code. 30282851

  • £147.00 / 20µL

Please to purchase this item. Need a web account? Register with us today!

This item is not returnable. View return policy

Description

Description

Immunogen sequence: MVAHNQVAAD NAVSTAAEPR RRPEPSSSSS SSPAAPARPR PCPAVPAPAP GDTHFRTFRS HADYRRITRA SALLDACGFY WGPLSVHGAH ERLRAEPVGT.

The Suppressor of cytokine signaling (SOCS) and cytokine-inducible SH2 proteins are a family of intracellular proteins which regulate the immune cell responses to cytokines. SOCS1 acts to suppress dendritic cell (DC) as well as T cell hyperactivation following cytokine signaling by inhibiting JAK tyrosine kinase, a kinase necessary for type I and II cytokine receptors to initiate signaling, by directly binding to the catalytic domain of the kinase. SOCS1 also possesses E3 ubiquitin protein ligase activity that results in the polyubiquitination of its target proteins and subsequent degradation by the proteosome. It is through this method that SOCS1 negatively regulates signaling by Toll-like receptors TLR2 and TLR4 by mediating the degradation of the TLR signaling adaptor protein TIRAP.
TRUSTED_SUSTAINABILITY
Specifications

Specifications

SOCS1
Recombinant Monoclonal
1.00 mg/mL
PBS with 0.05% BSA, 50% glycerol and 0.09% sodium azide; pH 7.3
O15524, O35716, Q9QX78
Socs1
A synthetic peptide corresponding to a sequence within amino acids 1-100 of human SOCS1 (NP_003736.1).
20 μL
Primary
Human, Mouse, Rat
Antibody
IgG
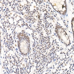
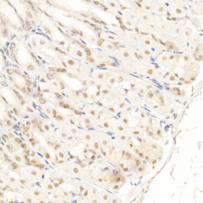
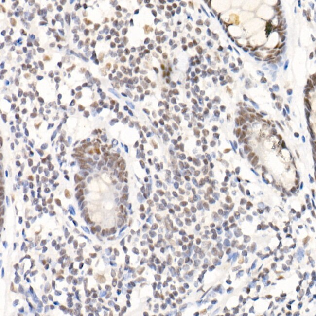
ELISA, Immunohistochemistry (Paraffin)
6C6W1
Unconjugated
Socs1
CIS1; Cish1; Cish7; cytokine inducible SH2-containing protein 1; cytokine inducible SH2-containing protein 7; cytokine-inducible SH2 protein 1; JAB; JAK binding protein; JAK2-binding protein; JAK-binding protein; Socs1; SOCS-1; SSI1; SSI-1; STAT induced SH3 protein 1; STAT-induced STAT inhibitor 1; Suppressor of cytokine signaling 1; Tec-interacting protein 3; TIP3; TIP-3
Rabbit
Affinity chromatography
RUO
12703, 252971, 8651
-20°C, Avoid Freeze/Thaw Cycles
Liquid
Product Suggestions

Product Suggestions

Videos
SDS
Documents

Documents

Certificates
Promotions

Promotions

Product Content Correction

Your input is important to us. Please complete this form to provide feedback related to the content on this product.

Product Title

By clicking Submit, you acknowledge that you may be contacted by Fisher Scientific in regards to the feedback you have provided in this form. We will not share your information for any other purposes. All contact information provided shall also be maintained in accordance with our Privacy Policy.

Thank You! Your feedback has been submitted. Fisher Scientific is always working to improve our content for you. We appreciate your feedback.