missing translation for 'onlineSavingsMsg'
Learn More
Learn More
Invitrogen™ SOCS1 Polyclonal Antibody

Rabbit Polyclonal Antibody
Brand: Invitrogen™ 385200
This item is not returnable.
View return policy
Description
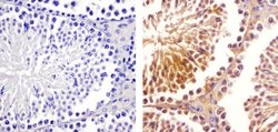
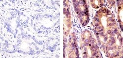
SOCS1 Polyclonal Antibody for Western Blot, IHC (P)
The Suppressor of cytokine signaling (SOCS) and cytokine-inducible SH2 proteins are a family of intracellular proteins which regulate the immune cell responses to cytokines. SOCS1 acts to suppress dendritic cell (DC) as well as T cell hyperactivation following cytokine signaling by inhibiting JAK tyrosine kinase, a kinase necessary for type I and II cytokine receptors to initiate signaling, by directly binding to the catalytic domain of the kinase. SOCS1 also possesses E3 ubiquitin protein ligase activity that results in the polyubiquitination of its target proteins and subsequent degradation by the proteosome. It is through this method that SOCS1 negatively regulates signaling by Toll-like receptors TLR2 and TLR4 by mediating the degradation of the TLR signaling adaptor protein TIRAP.
Specifications
| SOCS1 | |
| Polyclonal | |
| Unconjugated | |
| Socs1 | |
| CIS1; Cish1; Cish7; cytokine inducible SH2-containing protein 1; cytokine inducible SH2-containing protein 7; cytokine-inducible SH2 protein 1; JAB; JAK binding protein; JAK2-binding protein; JAK-binding protein; Socs1; SOCS-1; SSI1; SSI-1; STAT induced SH3 protein 1; STAT-induced STAT inhibitor 1; Suppressor of cytokine signaling 1; Tec-interacting protein 3; TIP3; TIP-3 | |
| Rabbit | |
| Antigen affinity chromatography | |
| RUO | |
| 12703, 8651 | |
| -20°C | |
| Liquid |
| Immunohistochemistry (Paraffin), Western Blot | |
| 0.25 mg/mL | |
| PBS with 0.1% sodium azide; pH 7.4 | |
| O15524, O35716 | |
| Socs1 | |
| Raised against the C-term of human SOCS1. | |
| 100 μg | |
| Primary | |
| Human, Mouse | |
| Antibody | |
| IgG |
Product Content Correction
Your input is important to us. Please complete this form to provide feedback related to the content on this product.
Product Title
Spot an opportunity for improvement?Share a Content Correction