missing translation for 'onlineSavingsMsg'
Learn More
Learn More
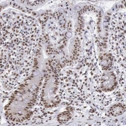
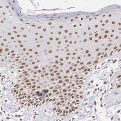
Invitrogen™ SNRPD3 Polyclonal Antibody

Rabbit Polyclonal Antibody
Brand: Invitrogen™ PA551524
This item is not returnable.
View return policy
Description
Immunogen sequence: KVLHEAEGHI VTCETNTGEV YRGKLIEAED NMNCQMSNIT VTYRDGRVAQ LEQVYIRGSK IRFLILPDML KNAPMLKSMK NKNQGSGAGR GKAAILKAQV AARGRGRGMG RGNI Highest antigen sequence identity to the following orthologs: Mouse - 100%, Rat - 100%.
This gene encodes a core component of the spliceosome, which is a nuclear ribonucleoprotein complex that functions in pre-mRNA splicing. Alternative splicing results in multiple transcript variants.
Specifications
| SNRPD3 | |
| Polyclonal | |
| Unconjugated | |
| Snrpd3 | |
| 1700043E15Rik; 2310009E13Rik; AW046420; small nuclear ribonucleoprotein D3; small nuclear ribonucleoprotein D3 polypeptide; small nuclear ribonucleoprotein D3 polypeptide 18kDa; small nuclear ribonucleoprotein Sm D3; SMD3; Sm-D3; snRNP core protein D3; SNRPD3 | |
| Rabbit | |
| Antigen affinity chromatography | |
| RUO | |
| 6634, 67332, 687711 | |
| Store at 4°C short term. For long term storage, store at -20°C, avoiding freeze/thaw cycles. | |
| Liquid |
| Immunohistochemistry (Paraffin), Western Blot, Immunocytochemistry | |
| 0.2 mg/mL | |
| PBS with 40% glycerol and 0.02% sodium azide; pH 7.2 | |
| P62318, P62320 | |
| Snrpd3 | |
| Recombinant protein corresponding to Human SNRPD3. Recombinant protein control fragment (Product #RP-91343). | |
| 100 μL | |
| Primary | |
| Human, Mouse, Rat | |
| Antibody | |
| IgG |
Product Content Correction
Your input is important to us. Please complete this form to provide feedback related to the content on this product.
Product Title
Spot an opportunity for improvement?Share a Content Correction