missing translation for 'onlineSavingsMsg'
Learn More
Learn More
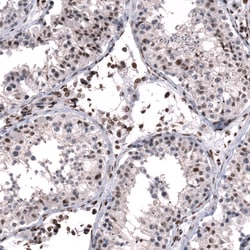
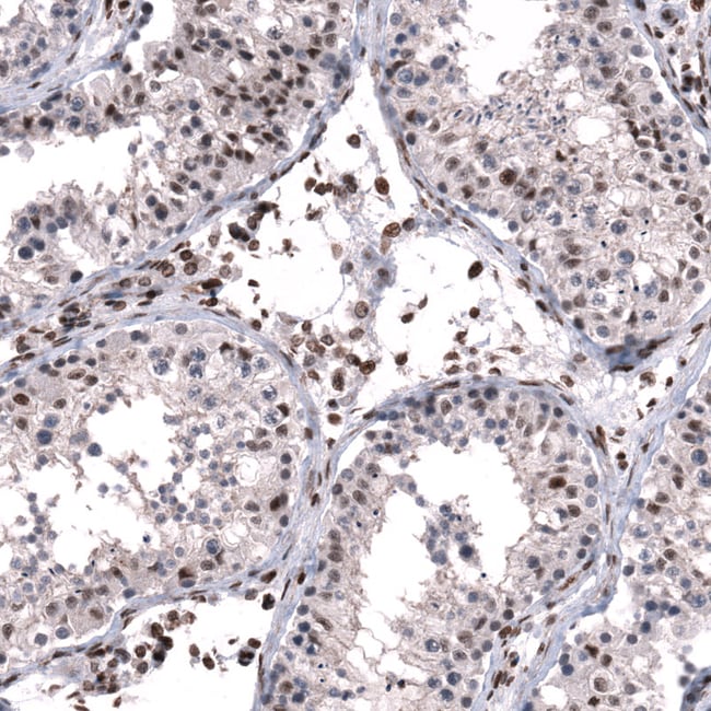
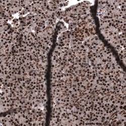
Invitrogen™ SNRK Polyclonal Antibody

Rabbit Polyclonal Antibody
Brand: Invitrogen™ PA559897
This item is not returnable.
View return policy
Description
Immunogen sequence: VPQDLEDDLT ATPLSHATVP QSPARAADSV LNGHRSKGLC DSAKKDDLPE LAGPALSTVP PASLKPTASG RKCLFRVEED EEEDEEDKKP MSLSTQVVLR RKPSVTNRLT SRKSAPVLNQ IFEEGESDDE FDMDENLPPK LSRLKM Highest antigen sequence identity to the following orthologs: Mouse - 95%, Rat - 97%.
SNRK may play a role in hematopoietic cell proliferation or differentiation. SNRK is the potential mediator of neuronal apoptosis.
Specifications
| SNRK | |
| Polyclonal | |
| Unconjugated | |
| SNRK | |
| 2010012F07Rik; AI448042; AW547029; E030034B15; HSNFRK; KIAA0096; mKIAA0096; R74830; RGD:69653}; SNF related kinase; SNF-1 related kinase; SNF1-related kinase; SNF-related serine/threonine-protein kinase; SNF-related serine/threonine-protein kinase; LOW QUALITY PROTEIN: SNF-related serine/threonine-protein kinase; SNFRK; SNRK; snrk {ECO:0000312 | |
| Rabbit | |
| Antigen affinity chromatography | |
| RUO | |
| 170837, 20623, 54861 | |
| Store at 4°C short term. For long term storage, store at -20°C, avoiding freeze/thaw cycles. | |
| Liquid |
| Immunohistochemistry (Paraffin), Western Blot, Immunocytochemistry | |
| 0.10 mg/mL | |
| PBS with 40% glycerol and 0.02% sodium azide; pH 7.2 | |
| Q63553, Q8VDU5, Q9NRH2 | |
| SNRK | |
| Recombinant protein corresponding to Human SNRK. Recombinant protein control fragment (Product #RP-89801). | |
| 100 μL | |
| Primary | |
| Human, Mouse, Rat | |
| Antibody | |
| IgG |
Product Content Correction
Your input is important to us. Please complete this form to provide feedback related to the content on this product.
Product Title
Spot an opportunity for improvement?Share a Content Correction