missing translation for 'onlineSavingsMsg'
Learn More

SNF5 Rabbit anti-Human, Mouse, Clone: SMARCB1/4587R, Novus Biologicals™

Product Code. 18364875 Shop All Bio Techne Products
Change view
Click to view available options
Quantity:
100 μg
20 μg
Unit Size:
100µg
20µg
2 product options available for selection
Product selection table with 2 available options. Use arrow keys to navigate and Enter or Space to select.
Product Code. Quantity unitSize
18364875 20 μg 20µg
18370955 100 μg 100µg
Use arrow keys to navigate between rows. Press Enter or Space to select a product option. 2 options available.
2 options
This item is not returnable. View return policy
Product Code. 18364875 Supplier Novus Biologicals Supplier No. NBP31377620UG

Please to purchase this item. Need a web account? Register with us today!

This item is not returnable. View return policy

Rabbit Monoclonal Antibody

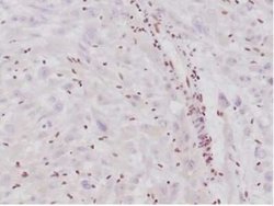
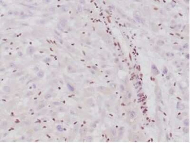
SNF5 Monoclonal antibody specifically detects SNF5 in Human, Mouse samples. It is validated for Immunohistochemistry (Paraffin)
TRUSTED_SUSTAINABILITY

Specifications

Antigen SNF5
Applications Immunohistochemistry (Paraffin)
Classification Monoclonal
Clone SMARCB1/4587R
Concentration 0.2 mg/ml
Conjugate Unconjugated
Dilution Immunohistochemistry-Paraffin 1-2 ug/ml
Formulation 10 mM PBS with 0.05% BSA
Gene Accession No. Q12824
Gene Alias BAF47, BAF47hSNF5, BRG1-associated factor 47, hSNFS, Ini1, INI1RTPS1, Integrase interactor 1 protein, malignant rhabdoid tumor suppressor, RDTSNF5 homolog, Sfh1p, SNF5, SNF5L1, Snr1, subfamily b, member 1, sucrose nonfermenting, yeast, homolog-like 1, SWI/SNF related, matrix associated, actin dependent regulator of chromatin, SWI/SNF-related matrix-associated actin-dependent regulator of chromatinsubfamily B member 1
Host Species Rabbit
Immunogen Human full-length SNF5 protein (Uniprot: Q12824)
Purification Method Protein A or G purified
Quantity 20 μg
Regulatory Status RUO
Research Discipline Cell Cycle and Replication
Primary or Secondary Primary
Gene ID (Entrez) 6598
Target Species Human, Mouse
Content And Storage Store at 4°C.
Form Purified
Isotype IgG
Show More Show Less
Product Title
Select an issue

By clicking Submit, you acknowledge that you may be contacted by Fisher Scientific in regards to the feedback you have provided in this form. We will not share your information for any other purposes. All contact information provided shall also be maintained in accordance with our Privacy Policy.