missing translation for 'onlineSavingsMsg'
Learn More
Learn More
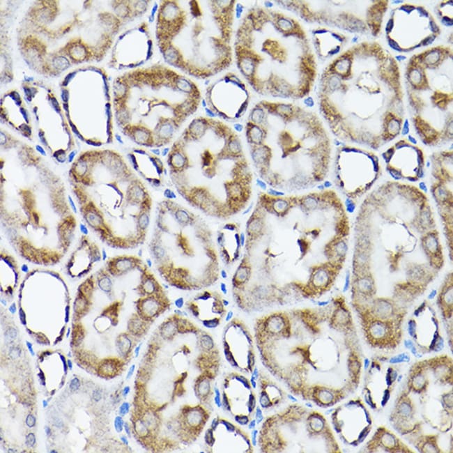
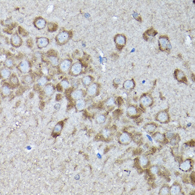
Invitrogen™ SNAPAP Polyclonal Antibody

Rabbit Polyclonal Antibody
Brand: Invitrogen™ PA576610
This item is not returnable.
View return policy
Description
The antibody was affinity-purified from rabbit antiserum by affinity-chromatography using epitope-specific immunogen and the purity is > 95% (by SDS-PAGE).
The protein encoded by this gene is a coiled-coil-forming protein that associates with the SNARE (soluble N-ethylmaleimide-sensitive fusion protein attachment protein receptor) complex of proteins and the BLOC-1 (biogenesis of lysosome-related organelles) complex. Biochemical studies have identified additional binding partners. As part of the SNARE complex, it is required for vesicle docking and fusion and regulates neurotransmitter release. The BLOC-1 complex is required for the biogenesis of specialized organelles such as melanosomes and platelet dense granules. Mutations in gene products that form the BLOC-1 complex have been identified in mouse strains that are models of Hermansky-Pudlak syndrome. Alternative splicing results in multiple transcript variants.
Specifications
| SNAPAP | |
| Polyclonal | |
| Unconjugated | |
| SNAPIN | |
| 25kDa; AA407989; AV026596; biogenesis of lysosomal organelles complex-1, subunit 7; biogenesis of lysosome-related organelles complex 1 subunit 7; BLOC-1 subunit 7; BLOC1S7; BLOS7; BORCS3; SNAP associated protein; SNAP-25-binding protein; SNAP25BP; SNAPAP; SNAP-associated protein; SNAPIN; SNARE associated protein snapin; SNARE-associated protein Snapin; synaptosomal-associated protein 25 binding protein; synaptosomal-associated protein 25-binding protein; synaptosomal-associated protein, 25 kDa, binding protein | |
| Rabbit | |
| Antigen affinity chromatography | |
| RUO | |
| 20615, 23557, 295217 | |
| Store at 4°C short term. For long term storage, store at -20°C, avoiding freeze/thaw cycles. | |
| Liquid |
| Immunohistochemistry (Paraffin), Western Blot | |
| 1 mg/mL | |
| PBS with 50% glycerol and 0.02% sodium azide; pH 7.2 | |
| O95295, P60192, Q9Z266 | |
| SNAPIN | |
| Recombinant fusion protein of human SNAPIN. | |
| 100 μL | |
| Primary | |
| Human, Mouse, Rat | |
| Antibody | |
| IgG |
Product Content Correction
Your input is important to us. Please complete this form to provide feedback related to the content on this product.
Product Title
Spot an opportunity for improvement?Share a Content Correction