missing translation for 'onlineSavingsMsg'
Learn More

Novus Biologicals™ SMN2 Antibody (1A3-2B9), Novus Biologicals™

Product Code. 18345249 Shop All Bio Techne Products
Change view
Click to view available options
Quantity:
0.1 mg
Unit Size:
0.01mg
1 product options available for selection
Product selection table with 1 available options. Use arrow keys to navigate and Enter or Space to select.
Product Code. Quantity unitSize
18345249 0.1 mg 0.01mg
Use arrow keys to navigate between rows. Press Enter or Space to select a product option. 1 options available.
1 options
This item is not returnable. View return policy
Product Code. 18345249 Supplier Novus Biologicals™ Supplier No. H00006607M02

Please to purchase this item. Need a web account? Register with us today!

This item is not returnable. View return policy

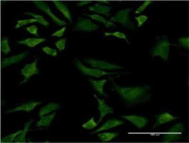
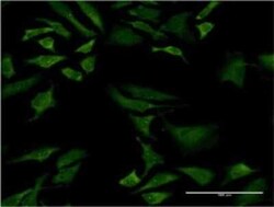
Mouse Monoclonal Antibody

SMN2 Monoclonal antibody specifically detects SMN2 in Human samples. It is validated for ELISA,Western Blot,Sandwich ELISA,Immunocytochemistry/ Immunofluorescence
TRUSTED_SUSTAINABILITY

Specifications

Antigen SMN2
Applications ELISA, Western Blot, Sandwich ELISA, Immunocytochemistry/Immunofluorescence
Classification Monoclonal
Clone 1A3-2B9
Conjugate Unconjugated
Formulation In 1x PBS, pH 7.4
Gene Accession No. AAH00908
Gene Alias BCD541, C-BCD541, Component of gems 1, FLJ76644, gemin 1, gemin-1, MGC20996, MGC5208, SMN, SMNCSMN1, SMNT, survival motor neuron protein, survival of motor neuron 2, centromeric
Host Species Mouse
Immunogen SMN2 (AAH00908, 1 a.a. ∽ 282 a.a) full-length recombinant protein with GST tag. MW of the GST tag alone is 26 KDa. MAMSSGGSGGGVPEQEDSVLFRRGTGQSDDSDIWDDTALIKAYDKAVASFKHALKNGDICETSGKPKTTPKRKPAKKNKSQKKNTAASLQQWKVGDKCSAIWSEDGCIYPATIASIDFKRETCVVVYTGYGNREEQNLSDLLSPICEVANNIEQNAQENENESQVSTDESENSRSPGNKSDNIKPKSAPWNSFLPPPPPMPGPRLGPGKPGLKFNGPPPPPPPPPPHLLSCWLPPFPSGPPIIPPPPPICPDSLDDADALGSMLISWYMSGYHTGYYMEMLA
Purification Method IgG purified
Quantity 0.1 mg
Regulatory Status RUO
Research Discipline Neuroscience
Primary or Secondary Primary
Gene ID (Entrez) 6607
Target Species Human
Content And Storage Aliquot and store at -20°C or -80°C. Avoid freeze/thaw cycles.
Form Purified
Isotype IgG2a κ
Show More Show Less
Product Title
Select an issue

By clicking Submit, you acknowledge that you may be contacted by Fisher Scientific in regards to the feedback you have provided in this form. We will not share your information for any other purposes. All contact information provided shall also be maintained in accordance with our Privacy Policy.