missing translation for 'onlineSavingsMsg'
Learn More
Learn More
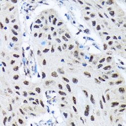
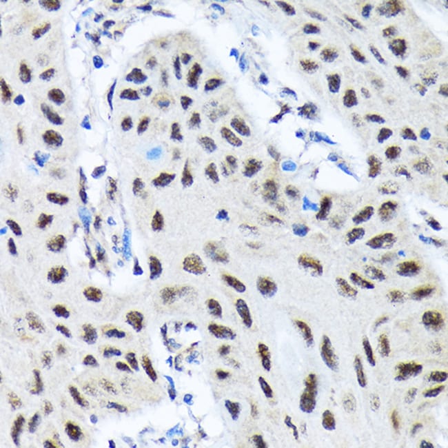
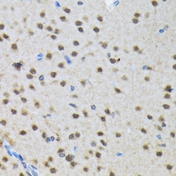
Invitrogen™ SMN1 Recombinant Rabbit Monoclonal Antibody (9N9Q6)

Rabbit Recombinant Monoclonal Antibody
Brand: Invitrogen™ MA542936
This item is not returnable.
View return policy
Description
Positive test controls include: HeLa, HepG2. Immunogen sequence: SEDGCIYPAT IASIDFKRET CVVVYTGYGN REEQNLSDLL SPICEVANNI EQNAQENENE SQVSTDESEN SRSPGNKSDN IKPKSAPWNS FLPPPPPM.
The SMN1 gene is part of a 500 kb inverted duplication on chromosome 5q13. This duplicated region contains at least four genes and repetitive elements which make it prone to rearrangements and deletions. The repetitiveness and complexity of the sequence have also caused difficulty in determining the organization of this genomic region. The telomeric and centromeric copies of this gene are nearly identical and encode the same protein - survival motor neuron protein. The SMN complex plays a catalyst role in the assemble of small nuclear ribonucleoproteins, the building blocks of the spliceosome. Mutations in the SMN1 gene are known to cause spinal muscular atrophy 1/2.
Specifications
| SMN1 | |
| Recombinant Monoclonal | |
| 1.8 mg/mL | |
| PBS with 0.05% BSA, 50% glycerol and 0.02% sodium azide; pH 7.3 | |
| O35876, Q16637 | |
| SMN1 | |
| Recombinant fusion protein containing a sequence corresponding to amino acids 103-200 of human SMN1 (Q16637). | |
| 100 μL | |
| Primary | |
| Human, Rat | |
| Antibody | |
| IgG |
| ELISA, Immunohistochemistry (Paraffin), Western Blot | |
| 9N9Q6 | |
| Unconjugated | |
| SMN1 | |
| AI849087; BCD541; component of gems 1; Gemin1; Gemin-1; SMA; SMA@; SMA1; SMA2; SMA3; SMA4; Smn; SMN1; SMN2; SMNC; SMNT; survival motor neuron 1; survival motor neuron 1 protein; survival motor neuron protein; survival of motor neuron 1, telomeric; survival of motor neuron protein; T-BCD541; TDRD16A; tudor domain containing 16A | |
| Rabbit | |
| Affinity Chromatography | |
| RUO | |
| 64301, 6606 | |
| -20°C, Avoid Freeze/Thaw Cycles | |
| Liquid |
Product Content Correction
Your input is important to us. Please complete this form to provide feedback related to the content on this product.
Product Title
Spot an opportunity for improvement?Share a Content Correction