missing translation for 'onlineSavingsMsg'
Learn More

Novus Biologicals™ SMARCD2 Antibody (2F7), Novus Biologicals™

Product Code. 18348279 Shop All Bio Techne Products
Change view
Click to view available options
Quantity:
0.1 mg
Unit Size:
0.01mg
1 product options available for selection
Product selection table with 1 available options. Use arrow keys to navigate and Enter or Space to select.
Product Code. Quantity unitSize
18348279 0.1 mg 0.01mg
Use arrow keys to navigate between rows. Press Enter or Space to select a product option. 1 options available.
1 options
This item is not returnable. View return policy
Product Code. 18348279 Supplier Novus Biologicals™ Supplier No. H00006603M01

Please to purchase this item. Need a web account? Register with us today!

This item is not returnable. View return policy

Mouse Monoclonal Antibody

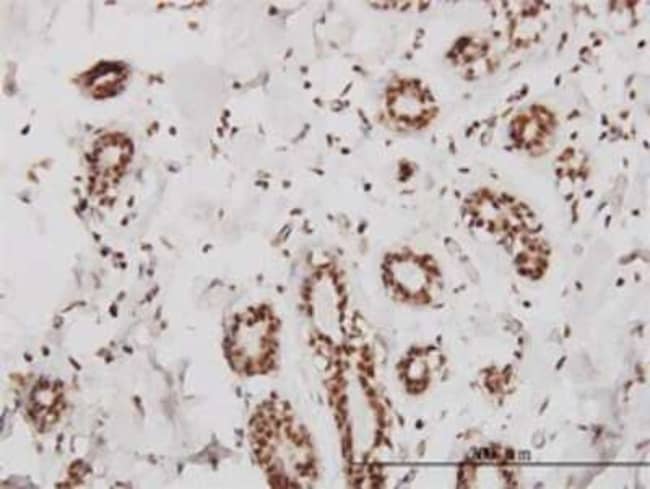
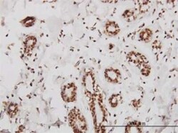
SMARCD2 Monoclonal antibody specifically detects SMARCD2 in Human samples. It is validated for Western Blot,ELISA,Immunohistochemistry,Immunohistochemistry (Paraffin),Immunocytochemistry/ Immunofluorescence
TRUSTED_SUSTAINABILITY

Specifications

Antigen SMARCD2
Applications Western Blot, ELISA, Immunohistochemistry, Immunohistochemistry (Paraffin), Immunocytochemistry/Immunofluorescence
Classification Monoclonal
Clone 2F7
Conjugate Unconjugated
Formulation In 1x PBS, pH 7.4
Gene Alias 60 kDa BRG-1/Brm-associated factor subunit B, BAF60B, BRG1-associated factor 60B, chromatin remodeling complex BAF60B subunit, CRACD2, mammalian chromatin remodeling complex BRG1-associated factor 60B, PRO2451, Rsc6p, SWI/SNF complex 60 kDa subunit B, SWI/SNF related, matrix associated, actin dependent regulator of chromatin, subfamily d, member 2, SWI/SNF-related matrix-associated actin-dependent regulator of chromatin subfamily D member 2, Swp73-like protein
Host Species Mouse
Immunogen SMARCD2 (NP_003068, 398 a.a. ∽ 474 a.a) partial recombinant protein with GST tag. MW of the GST tag alone is 26 KDa. RDFMLSFSTDPQDFIQEWLRSQRRDLKIITDVIGNPEEERRAAFYHQPWAQEAVGRHIFAKVQQRRQELEQVLGIRL
Purification Method IgG purified
Quantity 0.1 mg
Regulatory Status RUO
Research Discipline Chromatin Research
Primary or Secondary Primary
Gene ID (Entrez) 6603
Target Species Human
Content And Storage Aliquot and store at -20°C or -80°C. Avoid freeze/thaw cycles.
Form Purified
Isotype IgG2a κ
Show More Show Less
Product Title
Select an issue

By clicking Submit, you acknowledge that you may be contacted by Fisher Scientific in regards to the feedback you have provided in this form. We will not share your information for any other purposes. All contact information provided shall also be maintained in accordance with our Privacy Policy.