missing translation for 'onlineSavingsMsg'
Learn More
Learn More
Invitrogen™ SLUG Monoclonal Antibody (OTI1G7)

Mouse Monoclonal Antibody
Brand: Invitrogen™ MA526394
This item is not returnable.
View return policy
Description
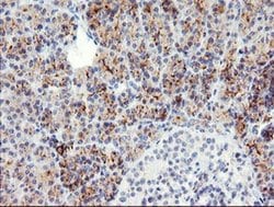
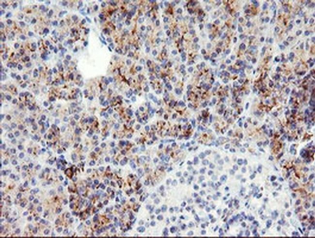
SLUG Monoclonal Antibody for Western Blot, ICC/IF, IHC (P), Flow
Slug, a member of the Snail family of C2H2-type zinc finger transcription factors, was initially identified to be involved in epithelial-mesenchymal transitions as well as the formation of the neural tube during vertebrate embryogenesis. Like Snail, Slug transcription can be induced by growth factors such as FGF, BMP, and TGF-beta. Once expressed, Slug will bind E-box regions of promoters and repress transcription of genes such as E-cadherin and Claudin-1. More recently, its expression in breast, esophogeal, and colorectal carcinomas has been correlated with poor prognosis for survival. Furthermore, Slug can protect hemopoietic progenitor cells from radiation-induced apoptosis by repressing the p53-mediated transcription of Puma, a BH3-only antagonist of the anti-apoptotic members of the Bcl-2 family.
Specifications
| SLUG | |
| Monoclonal | |
| 1 mg/mL | |
| PBS with 1% BSA, 50% glycerol and 0.02% sodium azide; pH 7.3 | |
| O43623 | |
| SNAI2 | |
| Full length human recombinant protein of SNAI2 produced in E.coli. | |
| 100 μL | |
| Primary | |
| Human | |
| Antibody | |
| IgG1 |
| Flow Cytometry, Immunohistochemistry (Paraffin), Western Blot, Immunocytochemistry | |
| OTI1G7 | |
| Unconjugated | |
| SNAI2 | |
| MGC10182; neural crest transcription factor Slug; Protein snail homolog 2; SLUG; slug (chicken homolog), zinc finger protein; Slug, chicken homolog; Slugh; SLUGH1; Snai2; snail family transcriptional repressor 2; snail family zinc finger 2; snail homolog 2; Snail2; snail-like protein 2; WS2D; Zinc finger protein SNAI2; zinc finger transcription factor snail 2 | |
| Mouse | |
| Affinity Chromatography | |
| RUO | |
| 6591 | |
| -20°C, Avoid Freeze/Thaw Cycles | |
| Liquid |
Product Content Correction
Your input is important to us. Please complete this form to provide feedback related to the content on this product.
Product Title
Spot an opportunity for improvement?Share a Content Correction