missing translation for 'onlineSavingsMsg'
Learn More
Learn More
Invitrogen™ SLIT2 Polyclonal Antibody

Rabbit Polyclonal Antibody
Brand: Invitrogen™ PA5115924
This item is not returnable.
View return policy
Description
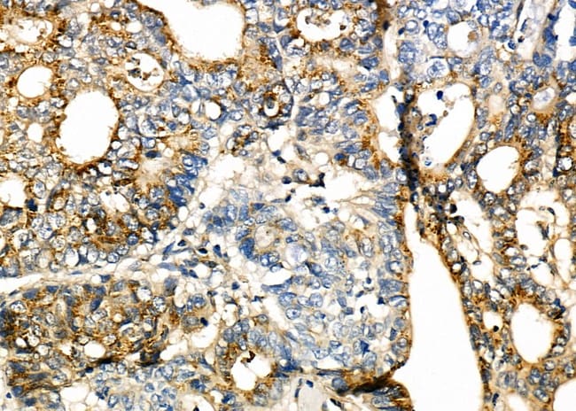
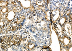
Antibody detects endogenous levels of total SLIT2.
SLIT2 are ligands for Robo receptors and play a vital role for axonal migration/navigation during neural development. A number of cleavage products through alternate splicing are reported in the literature for SLIT2 proteins. The C-terminal cleavage proteins are more diffusible than the larger N-terminal protein that is more tightly cell associated. SLIT2 protein is expressed in tissues such as fetal lung, kidney, and adult spinal cord.
Specifications
| SLIT2 | |
| Polyclonal | |
| Unconjugated | |
| SLIT2 | |
| downregulated during adipocyte differentiation-1; Drad-1; E030015M03Rik; E130320P19Rik; mKIAA4141; neurogenic extracellular slit protein; SLIL3; Slit; slit guidance ligand 2; slit homolog 2 (Drosophila); slit homolog 2 protein; Slit homolog 2 protein C-product; Slit homolog 2 protein N-product; SLIT2; Slit-2; Slit2 protein | |
| Rabbit | |
| Affinity chromatography | |
| RUO | |
| 360272, 9353 | |
| -20°C | |
| Liquid |
| Immunohistochemistry (Paraffin), Western Blot, Immunocytochemistry | |
| 1 mg/mL | |
| PBS with 50% glycerol and 0.02% sodium azide | |
| O94813, Q9WVC1 | |
| SLIT2 | |
| A synthesized peptide derived from human SLIT2(Accession O94813), corresponding to amino acid residues N465-T515. | |
| 100 μL | |
| Primary | |
| Human, Rat | |
| Antibody | |
| IgG |
Product Content Correction
Your input is important to us. Please complete this form to provide feedback related to the content on this product.
Product Title
Spot an opportunity for improvement?Share a Content Correction