missing translation for 'onlineSavingsMsg'
Learn More
Learn More
Description
Immunogen sequence: GGTTAMLSCL HIRVGVDSDQ EHLGVPENER RTTKAESAW Highest antigen sequence identity to the following orthologs: Mouse - 97%, Rat - 97%.
Na+/H+ exchangers-1-6 (Na+/H+ antiporters, NHE-1-6) are integral membrane proteins that are expressed in most mammalian tissues where they regulate intracellular pH and cell volume. NHEs mediate the secondary active extrusion of hydrogen (H+) ions out of cells in exchange for extracellular sodium (Na+). Excluding NHE-1, which is ubiquitously expressed, the NHE isoforms 2-6 have distinct tissue- and cell type-dependent expression, and inhibitiory characteristics by amiloride analogs.
Specifications
Specifications
| Antigen | SLC9A6 |
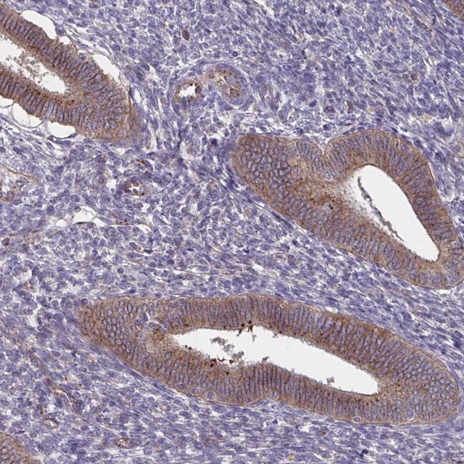
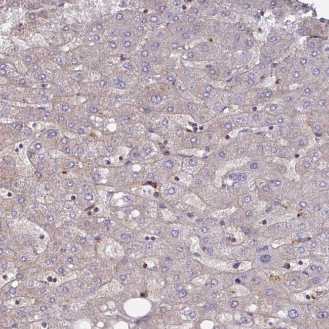
| Applications | Immunohistochemistry (Paraffin), Immunocytochemistry |
| Classification | Polyclonal |
| Concentration | 0.1 mg/mL |
| Conjugate | Unconjugated |
| Formulation | PBS with 40% glycerol and 0.02% sodium azide; pH 7.2 |
| Gene | SLC9A6 |
| Gene Accession No. | Q92581 |
| Gene Alias | 3732426M05; 6430520C02Rik; KIAA0267; mKIAA0267; MRSA; Na(+)/H(+) exchanger 6; NHE6; NHE-6; RGD1563582; SLC9A6; Sodium/hydrogen exchanger 6; solute carrier family 9 (sodium/hydrogen exchanger), isoform 6; solute carrier family 9 (sodium/hydrogen exchanger), member 6; Solute carrier family 9 member 6; solute carrier family 9 member A6; solute carrier family 9, subfamily A (NHE6, cation proton antiporter 6), member 6 |
| Gene Symbols | SLC9A6 |
| Show More |
Product Title
By clicking Submit, you acknowledge that you may be contacted by Fisher Scientific in regards to the feedback you have provided in this form. We will not share your information for any other purposes. All contact information provided shall also be maintained in accordance with our Privacy Policy.
Spot an opportunity for improvement?
