missing translation for 'onlineSavingsMsg'
Learn More
Learn More
Invitrogen™ SLC7A4 Polyclonal Antibody

Rabbit Polyclonal Antibody
Brand: Invitrogen™ PA556619
This item is not returnable.
View return policy
Description
Immunogen sequence: GIRHSKENQR ELPGLNSTHY VVFPRGSLEE TVQAMQPPSQ APAQDPGHME Highest antigen sequence identity to the following orthologs: Mouse - 66%, Rat - 70%.
Involved in the transport of the cationic amino acids (arginine, lysine and ornithine).
Specifications
| SLC7A4 | |
| Polyclonal | |
| Unconjugated | |
| SLC7A4 | |
| CAT4; CAT-4; Cationic amino acid transporter 4; HCAT3; Ig heavy chain variable region; SLC7A4; solute carrier family 7 (cationic amino acid transporter, y+ system), member 4; solute carrier family 7 (orphan transporter), member 4; solute carrier family 7 member 4; solute carrier family 7, member 4; VH; VH 3 family | |
| Rabbit | |
| Antigen affinity chromatography | |
| RUO | |
| 6545 | |
| Store at 4°C short term. For long term storage, store at -20°C, avoiding freeze/thaw cycles. | |
| Liquid |
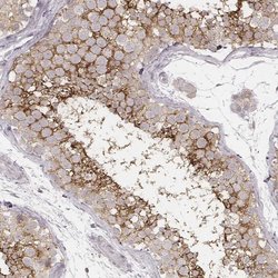
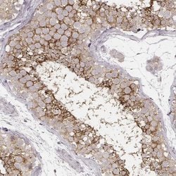
| Immunohistochemistry (Paraffin), Western Blot | |
| 0.2 mg/mL | |
| PBS with 40% glycerol and 0.02% sodium azide; pH 7.2 | |
| O43246 | |
| SLC7A4 | |
| Recombinant protein corresponding to Human SLC7A4. Recombinant protein control fragment (Product #RP-95378). | |
| 100 μL | |
| Primary | |
| Human | |
| Antibody | |
| IgG |
Product Content Correction
Your input is important to us. Please complete this form to provide feedback related to the content on this product.
Product Title
Spot an opportunity for improvement?Share a Content Correction