missing translation for 'onlineSavingsMsg'
Learn More
Learn More
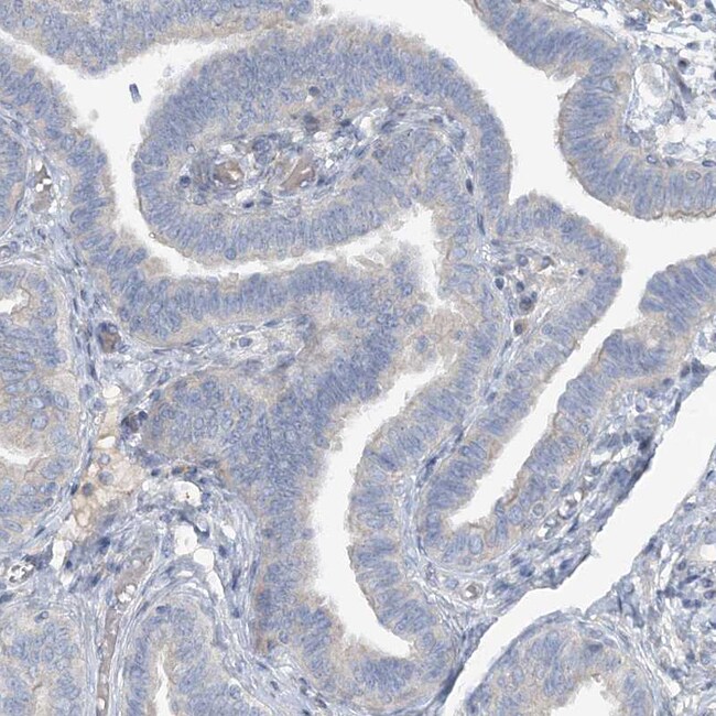
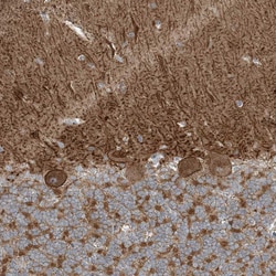
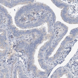
Invitrogen™ SLC4A10 Polyclonal Antibody

Rabbit Polyclonal Antibody
Brand: Invitrogen™ PA557044
This item is not returnable.
View return policy
Description
Immunogen sequence: FELSEAYPIN MHNDLELLTQ YSCNCVEPHN PSNGTLKEWR ESNISASDII WENLT Highest antigen sequence identity to the following orthologs: Mouse - 89%, Rat - 91%.
Members of the SLC4 bicarbonate transporter family are involved in solute transport and pH homeostasis. NCBE (SLC4A10) is a member of the SLC4 family of bicarbonate transporters, several of which play important roles in intracellular-pH regulation and transepithelial HCO(3)(-) transport. The SLC4A10 gene, which is highly expressed in the mammalian brain, contains two known alternative splicing units, inserts A and B. SLC4A10 encodes a sodium bicarbonate transporter with a brain-restricted expression pattern. Slc4a10 knockout (KO) mice have collapsed brain ventricles and display an increased seizure threshold, while heterozygous deletions in man have been associated with idiopathic epilepsy and other neurological symptoms. Slc4a10 is a promising pharmacological target for the therapy of epilepsy or elevated intracranial pressure.
Specifications
| SLC4A10 | |
| Polyclonal | |
| Unconjugated | |
| SLC4A10 | |
| NBCN2; NCBE; Sodium-Driven Chloride Bicarbonate Exchanger | |
| Rabbit | |
| Antigen affinity chromatography | |
| RUO | |
| 57282 | |
| Store at 4°C short term. For long term storage, store at -20°C, avoiding freeze/thaw cycles. | |
| Liquid |
| Immunohistochemistry (Paraffin) | |
| 0.1 mg/mL | |
| PBS with 40% glycerol and 0.02% sodium azide; pH 7.2 | |
| Q6U841 | |
| SLC4A10 | |
| Recombinant protein corresponding to Human SLC4A8/SLC4A10. Recombinant protein control fragment (Product #RP-96125). | |
| 100 μL | |
| Primary | |
| Human | |
| Antibody | |
| IgG |
Product Content Correction
Your input is important to us. Please complete this form to provide feedback related to the content on this product.
Product Title
Spot an opportunity for improvement?Share a Content Correction