missing translation for 'onlineSavingsMsg'
Learn More

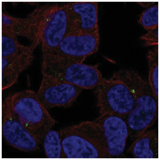
SLC35D3 Antibody, Novus Biologicals™

Rabbit Polyclonal Antibody

Brand:  Novus Biologicals NBP2-57003-25ul

 View more versions of this product

Product Code. 18632208

  • £222.00 / 25µL

Please to purchase this item. Need a web account? Register with us today!

This item is not returnable. View return policy

Description

Description

SLC35D3 Polyclonal specifically detects SLC35D3 in Human samples. It is validated for Immunocytochemistry/Immunofluorescence.
TRUSTED_SUSTAINABILITY
Specifications

Specifications

SLC35D3
Polyclonal
Immunocytochemistry/Immunofluorescence 1-4 μg/mL
bA55K22.3, frc, fringe-like 1, FRCL1, Fringe connection-like protein 1, MGC102873, solute carrier family 35 member D3, solute carrier family 35, member D3
Rabbit
Affinity Purified
RUO
340146
Human
Purified
Immunocytochemistry, Immunofluorescence
Unconjugated
PBS, pH 7.2, containing 40% glycerol with 0.02% Sodium Azide
SLC35D3
This antibody was developed against a recombinant protein corresponding to the following amino acid sequence:LVLIQKASADTEHGPLTAQYV
25 μL
Primary
Specificity of antibody verified on a Protein Array containing target protein plus 383 other non-specific proteins.
Store at 4°C short term. Aliquot and store at -20°C long term. Avoid freeze/thaw cycles.
IgG
Product Suggestions

Product Suggestions

Videos
SDS
Documents

Documents

Certificates
Promotions

Promotions

Product Content Correction

Your input is important to us. Please complete this form to provide feedback related to the content on this product.

Product Title

By clicking Submit, you acknowledge that you may be contacted by Fisher Scientific in regards to the feedback you have provided in this form. We will not share your information for any other purposes. All contact information provided shall also be maintained in accordance with our Privacy Policy.

Thank You! Your feedback has been submitted. Fisher Scientific is always working to improve our content for you. We appreciate your feedback.

For Research Use Only