missing translation for 'onlineSavingsMsg'
Learn More

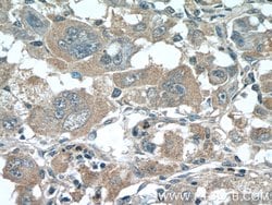
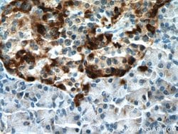
SLC30A8/ZNT8 Rabbit anti-Human, Mouse, Rat, Polyclonal, Proteintech

Rabbit Polyclonal Antibody

Brand:  Proteintech 16169-1-AP-150UL

 View more versions of this product

Product Code. 16845704

  • £349.00 / 150µL

Please to purchase this item. Need a web account? Register with us today!

This item is not returnable. View return policy

Description

Description

Slc30A8 is a zinc efflux transporter involved in the accumulation of zinc in intracellular vesicles and is expressed at a high level in the pancreas, particularly in islets of Langerhans, and co-localizes with insulin in the secretory pathway granules of the insulin-secreting INS-1 cells. Allelic variants of Slc30A8 have been identified as major genetic risk factors for the development of Type 2 diabetes, but no genetic association has been found with Type 1 diabetes. Slc30A8 expression in b-cells was found to be influenced by cytokine expression, particularly IFN-gamma and IL-1 beta.
Specifications

Specifications

SLC30A8/ZNT8
Polyclonal
Unconjugated
SLC30A8
SLC30A8, Zinc transporter 8, ZnT 8, ZNT8
Rabbit
Antigen Affinity Chromatography
RUO
169026, 239436, 299903
-20°C
Liquid
Immunohistochemistry (Paraffin), Western Blot
0.22 mg/mL
PBS with 50% glycerol and 0.02% sodium azide; pH 7.3
P0CE46, Q8BGG0, Q8IWU4
Slc30a8
Peptide
150 μL
Primary
Human, Mouse, Rat
Antibody
IgG
Product Suggestions

Product Suggestions

Videos
SDS
Documents

Documents

Certificates
Promotions

Promotions

Product Content Correction

Your input is important to us. Please complete this form to provide feedback related to the content on this product.

Product Title

By clicking Submit, you acknowledge that you may be contacted by Fisher Scientific in regards to the feedback you have provided in this form. We will not share your information for any other purposes. All contact information provided shall also be maintained in accordance with our Privacy Policy.

Thank You! Your feedback has been submitted. Fisher Scientific is always working to improve our content for you. We appreciate your feedback.