missing translation for 'onlineSavingsMsg'
Learn More
Learn More
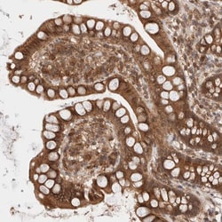
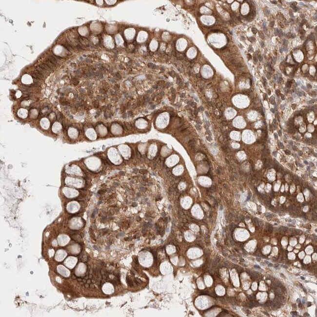
Invitrogen™ SIKE Polyclonal Antibody

Rabbit Polyclonal Antibody
Brand: Invitrogen™ PA555003
This item is not returnable.
View return policy
Description
Immunogen sequence: ESLVDQSAAL HRRVAAMREA GTALPDQYQE DASDMKDMSK YKPHILLSQE NTQIRDLQQE NRELWISLEE HQDALEL Highest antigen sequence identity to the following orthologs: Mouse - 94%, Rat - 94%.
Physiological suppressor of IKK-epsilon and TBK1 that plays an inhibitory role in virus- and TLR3-triggered IRF3. Inhibits TLR3-mediated activation of interferon-stimulated response elements (ISRE) and the IFN-beta promoter. May act by disrupting the interactions of IKBKE or TBK1 with TICAM1/TRIF, IRF3 and DDX58/RIG-I. Does not inhibit NF-kappa-B activation pathways.
Specifications
| SIKE | |
| Polyclonal | |
| Unconjugated | |
| SIKE1 | |
| 2810005O12Rik; 5730470L24Rik; AI450236; AI839862; RGD1311316; SIKE; SIKE1; Sikeb; suppressor of IKBKE 1; suppressor of IKK epsilon; suppressor of IKK-epsilon | |
| Rabbit | |
| Antigen affinity chromatography | |
| RUO | |
| 80143 | |
| Store at 4°C short term. For long term storage, store at -20°C, avoiding freeze/thaw cycles. | |
| Liquid |
| Immunohistochemistry (Paraffin), Western Blot, Immunocytochemistry | |
| 0.5 mg/mL | |
| PBS with 40% glycerol and 0.02% sodium azide; pH 7.2 | |
| Q9BRV8 | |
| SIKE1 | |
| Recombinant protein corresponding to Human SIKE. Recombinant protein control fragment (Product #RP-93991). | |
| 100 μL | |
| Primary | |
| Human | |
| Antibody | |
| IgG |
Product Content Correction
Your input is important to us. Please complete this form to provide feedback related to the content on this product.
Product Title
Spot an opportunity for improvement?Share a Content Correction