missing translation for 'onlineSavingsMsg'
Learn More
Learn More
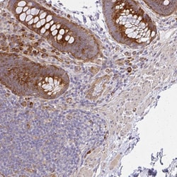
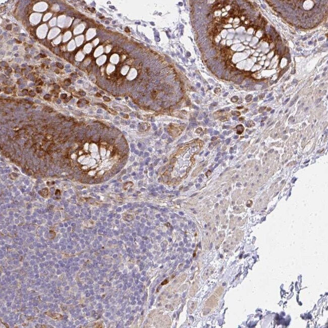
Invitrogen™ SGK494 Polyclonal Antibody

Rabbit Polyclonal Antibody
Brand: Invitrogen™ PA561255
This item is not returnable.
View return policy
Description
Immunogen sequence: MGAVSCRQGQ HTQQGEHTRV AVPHKQGGNI RGPWARGWKS LWTGLGTIRS DLEELWELRG HHYLHQESLK PAPVLVEKPL P Highest antigen sequence identity to the following orthologs: Mouse - 64%, Rat - 69%.
FLJ25006 likely exerts a protein serine/threonine kinase activity.
Specifications
| SGK494 | |
| Polyclonal | |
| Unconjugated | |
| Rskr | |
| BC030499; BC037104; cDNA sequence BC030499; Sgk494; sugen kinase 494; uncharacterized serine/threonine-protein kinase SgK494 | |
| Rabbit | |
| Antigen affinity chromatography | |
| RUO | |
| 124923 | |
| Store at 4°C short term. For long term storage, store at -20°C, avoiding freeze/thaw cycles. | |
| Liquid |
| Immunohistochemistry (Paraffin), Western Blot, Immunocytochemistry | |
| 0.05 mg/mL | |
| PBS with 40% glycerol and 0.02% sodium azide; pH 7.2 | |
| Q96LW2 | |
| Rskr | |
| Recombinant protein corresponding to Human SGK494. Recombinant protein control fragment (Product #RP-93373). | |
| 100 μL | |
| Primary | |
| Human | |
| Antibody | |
| IgG |
Product Content Correction
Your input is important to us. Please complete this form to provide feedback related to the content on this product.
Product Title
Spot an opportunity for improvement?Share a Content Correction