missing translation for 'onlineSavingsMsg'
Learn More
Learn More
Invitrogen™ SERPINB2 Monoclonal Antibody (OTI1G3)

Mouse Monoclonal Antibody
Brand: Invitrogen™ MA525775
This item is not returnable.
View return policy
Description
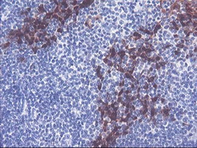
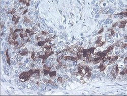
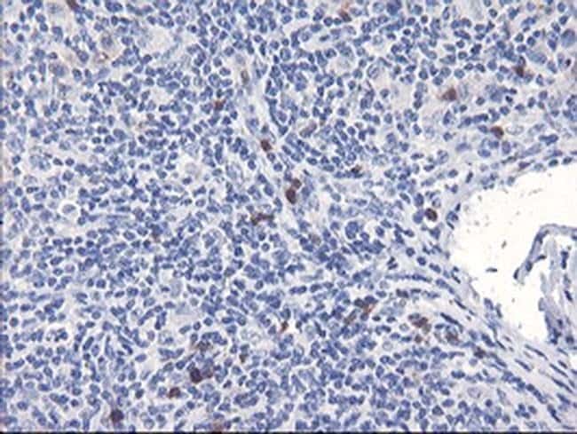
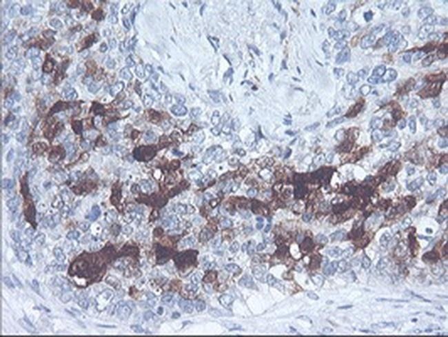
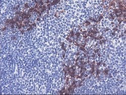
SERPINB2 Monoclonal Antibody for Western Blot, IHC (P), Flow
PAI-2 is an inhibitory serpin expressed mainly in keratinocytes, activated monocytes, and placental trophoblasts. It exists predominantly as a 47 kDa, nonglycosylated, intracellular protein, which can be induced to be secreted as 60 kDa glycoprotein. The glycosylated and unglycosylated forms of PAI-2 are equally effective as inhibitors of urokinase-type plasminogen activator (uPA), the only established physiological target of this serpin. PAI-2 has a unique ability to form dormant polymers spontaneously and reversibly under physiological conditions. The physiological relevance of this property, which is neither a consequence of any mutation in the PAI-2 gene nor associated with any known disorder, is still unclear. However, it appears that the formation of intracellular, dormant polymers may be important for the controlled release of the inhibitor from PAI-2 producing cells. Plasma levels of PAI-2 are usually low or undetectable, except during pregnancy and in some forms of monocytic leukemia. Secretion of PAI-2 from the placenta normally occurs during the third trimester of pregnancy, and accounts for the dramatic increase in PAI-2 levels (up to 250 ng/ml), which are maintained at these levels until postpartum, and then rapidly decline. In addition to its vital role in protecting the placenta from degradation by uPA and/or uPA-activated proteases, PAI-2 has been shown to be essential for the prevention of metastatic spread of neck, lung and breast cancers. The beneficial effect of PAI-2 seen in these studies is presumed to stem from its ability to inhibit uPA-dependent cell dissemination. PAI-2 has also been reported to inhibit keratinocyte proliferation, and to participate in the innate immune response during viral infection.
Specifications
| SERPINB2 | |
| Monoclonal | |
| 1 mg/mL | |
| PBS with 1% BSA, 50% glycerol and 0.02% sodium azide; pH 7.3 | |
| P05120 | |
| SERPINB2 | |
| Full length human recombinant protein of SERPINB2 produced in HEK293T cell. | |
| 100 μL | |
| Primary | |
| Human | |
| Antibody | |
| IgG1 |
| Flow Cytometry, Immunohistochemistry (Paraffin), Western Blot | |
| OTI1G3 | |
| Unconjugated | |
| SERPINB2 | |
| HsT1201; Monocyte Arg-serpin; ovalbumin; PAI; Pai2; PAI-2; Pai2a; Placental plasminogen activator inhibitor; Planh2; Plasminogen activator inhibitor 2; plasminogen activator inhibitor 2 type A; Plasminogen activator inhibitor 2, macrophage; plasminogen activator inhibitor, type II; plasminogen activator inhibitor, type II (arginine-serpin); serine (or cysteine) peptidase inhibitor, clade B, member 2; serine (or cysteine) proteinase inhibitor, clade B (ovalbumin), member 2; serine (or cysteine) proteinase inhibitor, clade B, member 2; serpin B2; serpin family B member 2; serpin peptidase inhibitor, clade B (ovalbumin), member 2; SERPINB2; Urokinase inhibitor | |
| Mouse | |
| Affinity chromatography | |
| RUO | |
| 5055 | |
| -20°C, Avoid Freeze/Thaw Cycles | |
| Liquid |
Product Content Correction
Your input is important to us. Please complete this form to provide feedback related to the content on this product.
Product Title
Spot an opportunity for improvement?Share a Content Correction