missing translation for 'onlineSavingsMsg'
Learn More
Learn More
Invitrogen™ SCO2 Polyclonal Antibody

Description
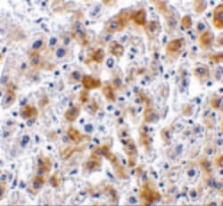
A suggested positive control is human liver tissue lysate. PA5-20339 can be used with blocking peptide PEP-0459.
Synthesis of cytochrome c oxidase 2 was initially identified in yeast as one of two cytochrome c oxidase (COX) assembly proteins that enable the assembly of cytochrome c holoenzyme, a complex that catalyzes the transfer of reducing equivalents from cytochrome c to molecular oxygen and pumps protons across the inner mitochondrial membrane. Like their yeast homologs, the function of both SCO2 and SCO1 are dependent on copper ion binding. Recent studies suggest that SCO2 expression is regulated by p53, so that a decrease in p53 expression, such as in numerous tumors and cells lines, the drop in SCO2 expression leads to a shift from normal aerobic respiration towards the production of glycolytic ATP. Defects in the SCO2 protein are also associated with fatal infantile cardioencephalomyopathy and COX deficiency.
Specifications
Specifications
| Antigen | SCO2 |
| Applications | Immunohistochemistry, Western Blot |
| Classification | Polyclonal |
| Concentration | 1 mg/mL |
| Conjugate | Unconjugated |
| Formulation | PBS with 0.02% sodium azide |
| Gene | Sco2 |
| Gene Accession No. | O43819 |
| Gene Alias | CEMCOX1; MYP6; protein SCO2 homolog, mitochondrial; SCO cytochrome oxidase deficient homolog 2; SCO cytochrome oxidase deficient homolog 2 (yeast); SCO1L; SCO2; SCO2 cytochrome c oxidase assembly protein |
| Gene Symbols | Sco2 |
| Show More |
Product Title
By clicking Submit, you acknowledge that you may be contacted by Fisher Scientific in regards to the feedback you have provided in this form. We will not share your information for any other purposes. All contact information provided shall also be maintained in accordance with our Privacy Policy.
Spot an opportunity for improvement?