missing translation for 'onlineSavingsMsg'
Få mere at vide

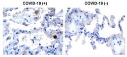
SARS-CoV-2 nsp13 Antibody - BSA Free, Novus Biologicals™

Artikelnummer. 18340826 Shop alle Bio Techne produkter
Skift visning
Klik for at se tilgængelige muligheder
Quantity:
0.1 mg
Pakningsstørrelse:
0.1mg
1 product options available for selection
Product selection table with 1 available options. Use arrow keys to navigate and Enter or Space to select.
Artikelnummer. Quantity unitSize
18340826 0.1 mg 0.1mg
Use arrow keys to navigate between rows. Press Enter or Space to select a product option. 1 options available.
1 options
Denne vare kan ikke returneres. Se returpolicy
Artikelnummer. 18340826 Leverandør Novus Biologicals Leverandørnr. NBP307055

Please to purchase this item. Need a web account? Register with us today!

Denne vare kan ikke returneres. Se returpolicy

Rabbit Polyclonal Antibody

SARS-CoV-2 nsp13 Polyclonal specifically detects SARS-CoV-2 nsp13 in SARS-CoV-2 samples. It is validated for ELISA, Immunohistochemistry.
TRUSTED_SUSTAINABILITY

Tekniske data

Antigen SARS-CoV-2 nsp13
Applications Western Blot, ELISA, Immunohistochemistry
Classification Polyclonal
Concentration 1 mg/mL
Conjugate Unconjugated
Dilution Western Blot 2 ug/mL, ELISA, Immunohistochemistry
Formulation PBS
Gene Alias helicase, Non-structural protein 13
Host Species Rabbit
Immunogen This antibody was raised against a peptide corresponding to 19 amino acids near the carboxyl terminus of the SARS-CoV-2 (COVID-19) NSP13 (Helicase) protein. The immunogen is located in the last 50 amino acids of SARS-CoV-2 (COVID-19) NSP13 (Helicase).
Purification Method Peptide affinity purified
Quantity 0.1 mg
Regulatory Status RUO
Primary or Secondary Primary
Gene ID (Entrez) 43740578
Target Species SARS-CoV-2
Content And Storage Store at 4°C short term. Aliquot and store at -20°C long term. Avoid freeze-thaw cycles.
Form Purified
Isotype IgG
Vis mere Vis mindre
Produkttitel
Vælg et problem

Ved at klikke på Send, anerkender du, at du kan blive kontaktet af Fisher Scientific med hensyn til den feedback, du har givet i denne formular. Vi deler ikke dine oplysninger til andre formål. Alle angivne kontaktoplysninger skal også vedligeholdes i overensstemmelse med vores Privatlivspolitik.