Learn More
Invitrogen™ SAFB2 Polyclonal Antibody

Rabbit Polyclonal Antibody
Brand: Invitrogen™ PA588619
Description
Immunogen sequence: MAETLPGSGD SGPGTASLGP GVAETGTRRL SELRVIDLRA ELKKRNLDTG GNKSVLMERL KKAVKEEGQD PDEIGIELEA TSKKSAKRCV KGLKMEEEGT EDNGLEDDSR DGQEDMEASL ENLQNMGMMD MSVLDETEVA NSSAPDFGED GTDGLLDSFC DSKEYVAAQL RQLPAQPPEH AVDGEGFKNT LETSSLNFKV TPDIEESLLE PENEKILDIL GETCKSEPVK EESSELEQPF AQDTSSVGPD RKLAE; Positive Samples: SH-SY5Y, Mouse liver; Cellular Location: Cytoplasm, Nucleus.
Binds to scaffold/matrix attachment region (S/MAR) DNA. Can function as an estrogen receptor corepressor and can also inhibit cell proliferation.
Specifications
| SAFB2 | |
| Polyclonal | |
| Unconjugated | |
| SAFB2 | |
| AA389433; AI255170; KIAA0138; mKIAA0138; SAFB2; SAF-B2; Scaffold attachment factor B2 | |
| Rabbit | |
| Affinity Chromatography | |
| RUO | |
| 224902, 301126, 9667 | |
| -20°C, Avoid Freeze/Thaw Cycles | |
| Liquid |
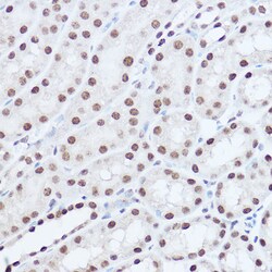
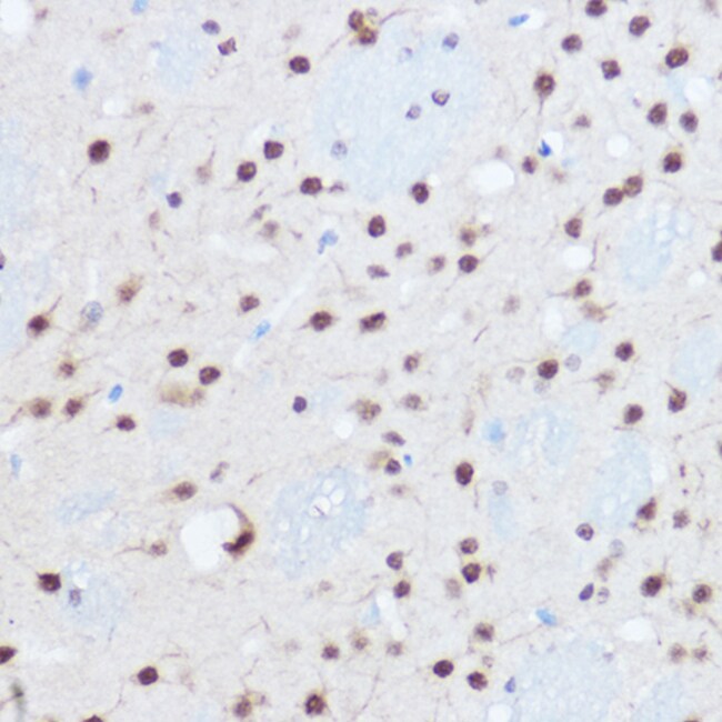
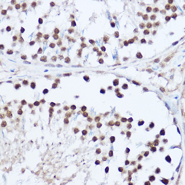
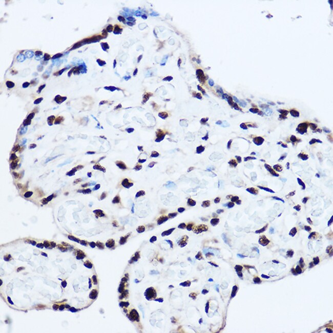
| ELISA, Immunohistochemistry (Paraffin), Western Blot | |
| 0.93 mg/mL | |
| PBS with 50% glycerol and 0.02% sodium azide; pH 7.3 | |
| Q14151, Q80YR5 | |
| SAFB2 | |
| Recombinant fusion protein containing a sequence corresponding to amino acids 1-255 of human SAFB2 (NP_0554641). | |
| 100 μL | |
| Primary | |
| Human, Mouse, Rat | |
| Antibody | |
| IgG |
Your input is important to us. Please complete this form to provide feedback related to the content on this product.