missing translation for 'onlineSavingsMsg'
Learn More

Invitrogen™ SACM1L Polyclonal Antibody

Rabbit Polyclonal Antibody

Brand:  Invitrogen™ PA558843

Product Code. 15786711

  • £474.00 / 100µL

Please to purchase this item. Need a web account? Register with us today!

This item is not returnable. View return policy

Description

Description

Immunogen sequence: VIINLINQKG SEKPLEQTFA TMVSSLGSGM MRYIAFDFHK ECKNMRWDRL SILLDQVAEM QDELSYFLVD SAGQVVANQE GVFRS Highest antigen sequence identity to the following orthologs: Mouse - 92%, Rat - 93%.

Phosphoinositide phosphatase that hydrolyzes PtdIns(3)P and PtdIns(4)P. Has low activity towards PtdIns(3,5)P2.
TRUSTED_SUSTAINABILITY
Specifications

Specifications

SACM1L
Polyclonal
Unconjugated
Sacm1l
Kiaa0851; mKIAA0851; phosphatidylinositide phosphatase SAC1; phosphatidylinositol-3-phosphatase SAC1; phosphatidylinositide phosphatase SAC1; phosphatidylinositol-4-phosphate phosphatase; polyphosphatidylinositol phosphatase; SAC1; SAC1 (suppressor of actin mutations 1, homolog)-like (S. cerevisiae); SAC1 like phosphatidylinositide phosphatase; SAC1 suppressor of actin mutations 1 like; SAC1 suppressor of actin mutations 1-like (yeast); Sac1p; SACM1L; suppressor of actin 1; suppressor of actin mutations 1-like protein
Rabbit
Antigen affinity chromatography
RUO
22908
Store at 4°C short term. For long term storage, store at -20°C, avoiding freeze/thaw cycles.
Liquid
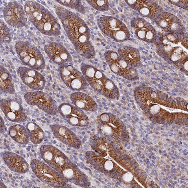
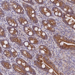
Immunohistochemistry (Paraffin)
0.1 mg/mL
PBS with 40% glycerol and 0.02% sodium azide; pH 7.2
Q9NTJ5
Sacm1l
Recombinant protein corresponding to Human SACM1L. Recombinant protein control fragment (Product #RP-96491).
100 μL
Primary
Human
Antibody
IgG
Product Suggestions

Product Suggestions

Videos
SDS
Documents

Documents

Certificates
Promotions

Promotions

Product Content Correction

Your input is important to us. Please complete this form to provide feedback related to the content on this product.

Product Title

By clicking Submit, you acknowledge that you may be contacted by Fisher Scientific in regards to the feedback you have provided in this form. We will not share your information for any other purposes. All contact information provided shall also be maintained in accordance with our Privacy Policy.

Thank You! Your feedback has been submitted. Fisher Scientific is always working to improve our content for you. We appreciate your feedback.