missing translation for 'onlineSavingsMsg'
Learn More

Invitrogen™ S100B Polyclonal Antibody, Invitrogen™

Rabbit Polyclonal Antibody

Brand:  Invitrogen™ PA5145375

 View more versions of this product

Product Code. 17948932

  • £313.00 / 200µL

Please to purchase this item. Need a web account? Register with us today!

This item is not returnable. View return policy

Description

Description

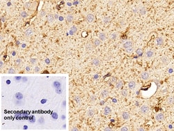
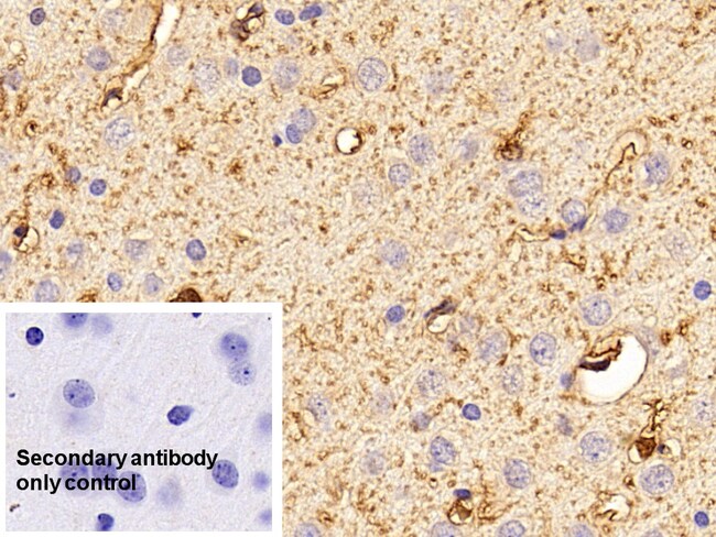
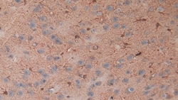
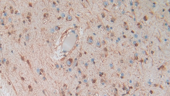
S100B is a member of the S100 family of proteins containing 2 EF-hand calcium-binding motifs. S100 proteins are localized in the cytoplasm and/or nucleus of a wide range of cells and are involved in the regulation of a number of cellular processes such as cell cycle progression and differentiation. S100B may function in neurite extension, proliferation of melanoma cells, stimulation of Ca2+ fluxes, inhibition of PKC-mediated phosphorylation, astrocytosis and axonal proliferation, and inhibition of microtubule assembly. Chromosomal rearrangements and altered expression of this gene have been implicated in several diseases, including Alzheimer's disease, Down's syndrome, epilepsy, amyotrophic lateral sclerosis, melanoma, and type I diabetes.
TRUSTED_SUSTAINABILITY
Specifications

Specifications

S100B
Polyclonal
Unconjugated
S100B
AI850290; Bpb; hypothetical protein LOC525716; NEF; protein S100-B; S100; S100 calcium binding protein B; S100 calcium binding protein beta (neural); S100 calcium-binding protein B; S100 calcium-binding protein beta (neural); S-100 calcium-binding protein beta subunit; S100 calcium-binding protein, beta (neural); S-100 calcium-binding protein, beta chain; S100 protein beta chain; S-100 protein beta chain; S-100 protein subunit beta; S100 protein, beta polypeptide; S100 protein, beta polypeptide, neural; S100B; S100-B; S100beta; S100P
Rabbit
Antigen affinity chromatography, Protein A
RUO
100623510, 20203, 25742, 6285
Store at 4°C short term. For long term storage, store at -20°C, avoiding freeze/thaw cycles.
Liquid
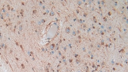
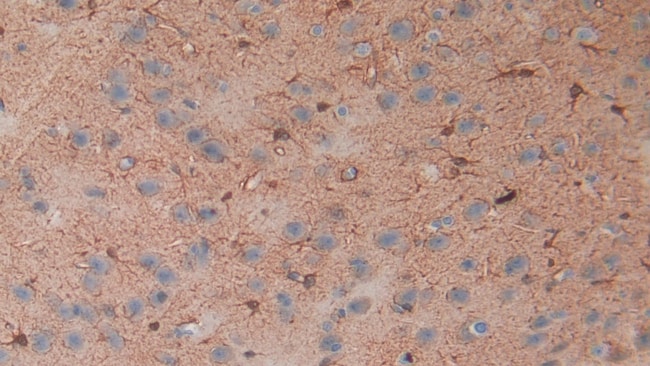
Immunohistochemistry (Paraffin), Western Blot, Western Blot
0.5 mg/mL
PBS with 50% glycerol and 0.05% Proclin 300; pH 7.4
P04271, P04631, P50114
S100B
Recombinant Human S100B protein, Met1-Glu92 (Accession #P04271).
200 μL
Primary
Human, Mouse, Pig, Rat
Antibody
IgG
Produktförslag

Produktförslag

Filmer
SDS
Dokument

Dokument

Certifikat
Kampanjer

Kampanjer

Korrigering av produktinnehåll

Din input är viktig för oss. Fyll i det här formuläret för att ge feedback relaterad till innehållet på denna produkt.

Produkttitel

Genom att klicka på Skicka bekräftar du att du kan bli kontaktad av Fisher Scientific angående feedbacken du har lämnat i detta formulär. Vi kommer inte att dela din information för andra ändamål. All kontaktinformation som tillhandahålls ska också underhållas i enlighet med vår Sekretesspolicy.

Tack! Din feedback har skickats. Fisher Scientific arbetar alltid för att förbättra vårt innehåll åt dig. Vi uppskattar din feedback.