missing translation for 'onlineSavingsMsg'
Learn More
Learn More
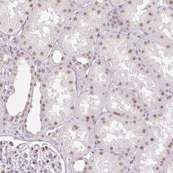
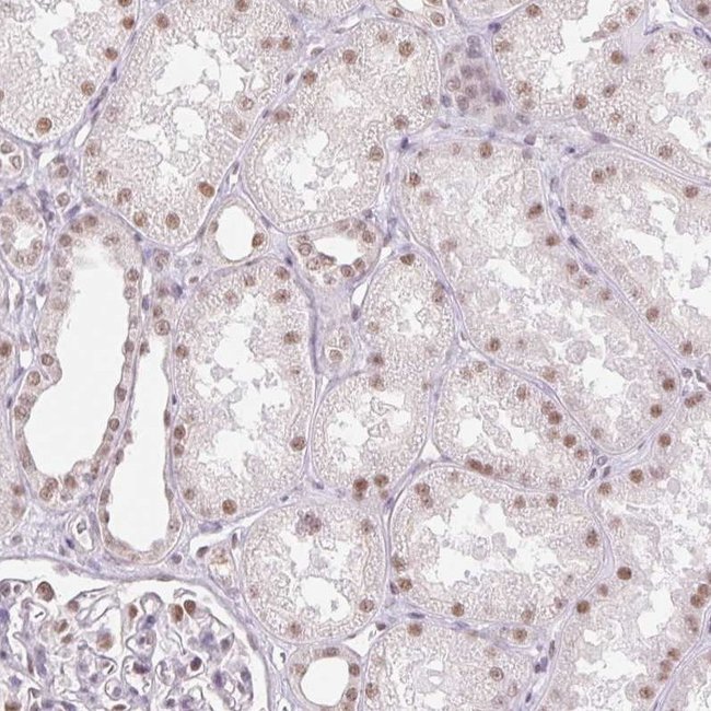
Invitrogen™ RPRD1B Polyclonal Antibody

Rabbit Polyclonal Antibody
Brand: Invitrogen™ PA566832
This item is not returnable.
View return policy
Description
Immunogen sequence: RKGPEFTREFE SVLVDAFSHV AREADEGCKK PLERLLNIWQ ERSVYGGEFI QQLKLSME Highest antigen sequence identity to the following orthologs - mouse 100%, rat 100%.
Interacts with phosphorylated C-terminal heptapeptide repeat domain (CTD) of the largest RNA polymerase II subunit POLR2A, and participates in dephosphorylation of the CTD by RPAP2. Transcriptional regulator which enhances expression of CCND1. Promotes binding of RNA polymerase II to the CCDN1 promoter and to the termination region before the poly-A site but decreases its binding after the poly-A site. Prevents RNA polymerase II from reading through the 3' end termination site and may allow it to be recruited back to the promoter through promotion of the formation of a chromatin loop. Also enhances the transcription of a number of other cell cycle-related genes including CDK2, CDK4, CDK6 and cyclin-E but not CDKN1A, CDKN1B or cyclin-A. Promotes cell proliferation. [UniProt].
Specifications
| RPRD1B | |
| Polyclonal | |
| Unconjugated | |
| RPRD1B | |
| 2610304G08Rik; 2810446G03Rik; C20orf77; Cell cycle-related and expression-elevated protein in tumor; cell-cycle related and expression-elevated protein in tumor; CREPT; dJ1057B20.2; NET60; regulation of nuclear pre-mRNA domain containing 1B; regulation of nuclear pre-mRNA domain-containing protein 1B; RGD1304782; Rprd1b | |
| Rabbit | |
| Antigen affinity chromatography | |
| RUO | |
| 58490 | |
| Store at 4°C short term. For long term storage, store at -20°C, avoiding freeze/thaw cycles. | |
| Liquid |
| Immunohistochemistry (Paraffin), Western Blot, Immunocytochemistry | |
| 0.1 mg/mL | |
| PBS with 40% glycerol and 0.02% sodium azide; pH 7.2 | |
| Q9NQG5 | |
| RPRD1B | |
| Recombinant Human RPRD1B. Recombinant protein control fragment (Product #RP-105387). | |
| 100 μL | |
| Primary | |
| Human | |
| Antibody | |
| IgG |
Product Content Correction
Your input is important to us. Please complete this form to provide feedback related to the content on this product.
Product Title
Spot an opportunity for improvement?Share a Content Correction