missing translation for 'onlineSavingsMsg'
Learn More
Learn More
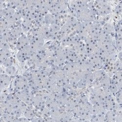
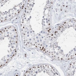
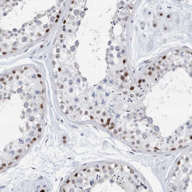
Invitrogen™ RPP30 Polyclonal Antibody

Rabbit Polyclonal Antibody
Brand: Invitrogen™ PA558019
This item is not returnable.
View return policy
Description
Immunogen sequence: NVIISSAAER PLEIRGPYDV ANLGLLFGLS ESDAKAAVST NCRAALLHGE TRKTAFGIIS TVKKPRPSEG DEDCLPASKK AKCEG Highest antigen sequence identity to the following orthologs: Mouse - 87%, Rat - 85%.
RNase P, which consists of a complex of an RNA species (H1 RNA), POP1 (Processing of Precursor 1), POP5 (Processing of Precursor 5), and at least seven Rpps (including Rpp14, Rpp29, Rpp30 and Rpp38), removes the 5' leader sequences from precursor tRNA molecules. The structurally related RNase MRP plays an essential role in the formation of the 5' end of 5.8S rRNA. Both RNase P and RNase MRP are associated with Th/To ribonucleoproteins; Rpp30 and Rpp38 have specifically been implicated as Th autoantigens which contribute to the autoimmune disease systemic sclerosis.
Specifications
| RPP30 | |
| Polyclonal | |
| Unconjugated | |
| RPP30 | |
| Ribonuclease P protein subunit p30; ribonuclease P/MRP 30 subunit; ribonuclease P/MRP 30kDa subunit; ribonuclease P/MRP subunit; ribonuclease P/MRP subunit p30; ribonuclease P2; RNase P subunit 2; RNaseP protein p30; RNASEP2; RPP30; TSG15 | |
| Rabbit | |
| Antigen Affinity Chromatography | |
| RUO | |
| 10556 | |
| Store at 4°C short term. For long term storage, store at -20°C, avoiding freeze/thaw cycles. | |
| Liquid |
| Immunohistochemistry (Paraffin), Immunocytochemistry | |
| 0.1 mg/mL | |
| PBS with 40% glycerol and 0.02% sodium azide; pH 7.2 | |
| P78346 | |
| RPP30 | |
| Recombinant protein corresponding to Human RPP30. Recombinant protein control fragment (Product #RP-97107). | |
| 100 μL | |
| Primary | |
| Human | |
| Antibody | |
| IgG |
Product Content Correction
Your input is important to us. Please complete this form to provide feedback related to the content on this product.
Product Title
Spot an opportunity for improvement?Share a Content Correction