missing translation for 'onlineSavingsMsg'
Learn More
Learn More
RPP25L Antibody, Novus Biologicals™
Rabbit Polyclonal Antibody
Brand: Novus Biologicals NBP2-13259
This item is not returnable.
View return policy
Description
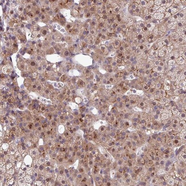
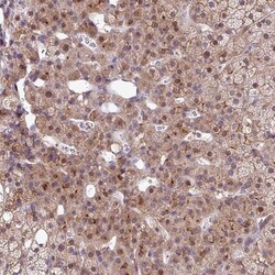
RPP25L Polyclonal specifically detects RPP25L in Human samples. It is validated for Immunohistochemistry, Immunocytochemistry/Immunofluorescence, Immunohistochemistry-Paraffin.
Specifications
| C9orf23 | |
| Polyclonal | |
| Immunohistochemistry, Immunocytochemistry/Immunofluorescence 1 - 4 ug/ml, Immunohistochemistry-Paraffin 1:200-1:500 | |
| alba-like protein C9orf23, bA296L22.5, C9orf23, chromosome 9 open reading frame 23, MGC29635, ribonuclease P/MRP 25kDa subunit-like | |
| Rabbit | |
| Affinity Purified | |
| RUO | |
| 138716 | |
| Human | |
| IgG |
| Immunohistochemistry, Immunocytochemistry, Immunofluorescence, Immunohistochemistry (Paraffin) | |
| Unconjugated | |
| PBS (pH 7.2) and 40% Glycerol with 0.02% Sodium Azide | |
| RPP25L | |
| This antibody was developed against a recombinant protein corresponding to the amino acids: LTKLRFLQTEDSWVPASPDTGLDPLTVRRHVPAVWVLLSRDPLDPNECGYQPPGAPPGLGSMPSSSCGPRSRRRARDTRS | |
| 0.1 mL | |
| Primary | |
| Specificity of antibody verified on a Protein Array containing target protein plus 383 other non-specific proteins. | |
| Store at 4C short term. Aliquot and store at -20C long term. Avoid freeze-thaw cycles. |
Product Content Correction
Your input is important to us. Please complete this form to provide feedback related to the content on this product.
Product Title
For Research Use Only
Spot an opportunity for improvement?Share a Content Correction