Learn More
Invitrogen™ RPL3 Polyclonal Antibody

Rabbit Polyclonal Antibody
Brand: Invitrogen™ PA527550
Description
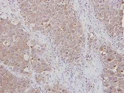
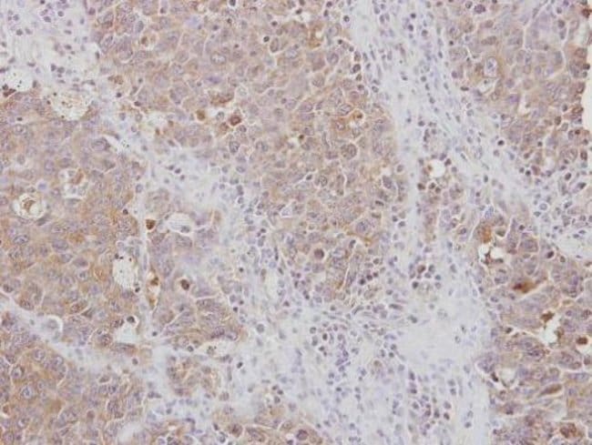
Recommended positive controls: A549. Predicted reactivity: Mouse (98%), Rat (98%), Zebrafish (90%), Xenopus laevis (92%), Dog (97%), Pig (97%), Chicken (94%), Rhesus Monkey (100%), Chimpanzee (100%), Bovine (96%). Store product as a concentrated solution. Centrifuge briefly prior to opening the vial.
This gene encodes a member of the SWI2/SNF2 family of proteins, which play a critical role in altering protein-DNA interactions. The encoded protein has been shown to have dsDNA-dependent ATPase activity and RNA polymerase II termination activity. This protein interacts with cell division cycle 5-like, associates with human splicing complexes, and plays a role in pre-mRNA splicing.
Specifications
| RPL3 | |
| Polyclonal | |
| Unconjugated | |
| RPL3 | |
| 60S ribosomal protein L3; ASC-1; F2; HIV-1 TAR RNA-binding protein B; J1; J1 protein; L3; L4; Large ribosomal subunit protein uL3; OK/SW-cl.32; ribosomal protein L3; ribosomal protein L3 homolog; ribosomal protein L3, isoform a; RL3; RPL3; TARBP-B | |
| Rabbit | |
| Antigen affinity chromatography | |
| RUO | |
| 6122 | |
| Store at 4°C short term. For long term storage, store at -20°C, avoiding freeze/thaw cycles. | |
| Liquid |
| Immunohistochemistry (Paraffin), Western Blot, Immunocytochemistry | |
| 0.57 mg/mL | |
| PBS with 20% glycerol; pH 7 | |
| P39023 | |
| RPL3 | |
| Recombinant protein encompassing a sequence within the center region of human RPL3. The exact sequence is proprietary. | |
| 100 μL | |
| Primary | |
| Human | |
| Antibody | |
| IgG |
Your input is important to us. Please complete this form to provide feedback related to the content on this product.