missing translation for 'onlineSavingsMsg'
Learn More

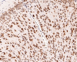
Invitrogen™ RPL10A Recombinant Rabbit Monoclonal Antibody (JE64-41)

Rabbit Recombinant Monoclonal Antibody

Brand:  Invitrogen™ MA544710

Product Code. 17837872

  • £418.00 / 100µL

Please to purchase this item. Need a web account? Register with us today!

This item is not returnable. View return policy

Description

Description

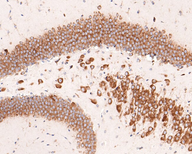
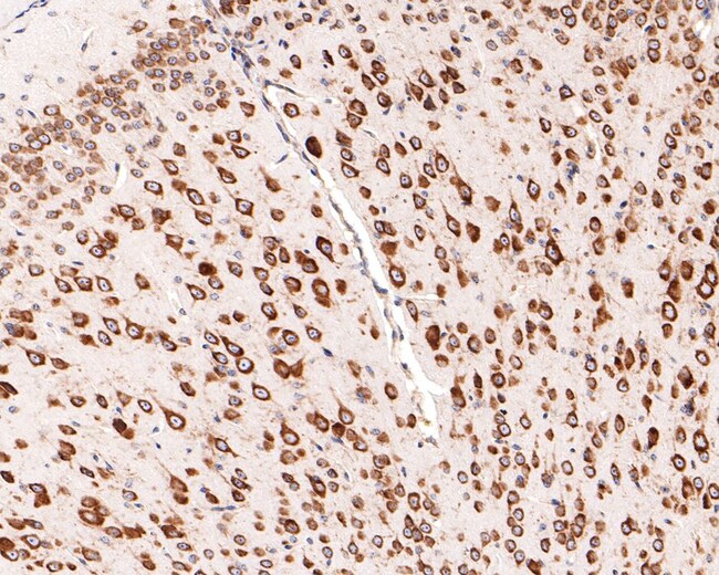
RPL10A Recombinant Monoclonal Antibody for IHC (P), Western Blot

Ribosomes, the organelles that catalyze protein synthesis, consist of a small 40S subunit and a large 60S subunit. Together these subunits are composed of 4 RNA species and approximately 80 structurally distinct proteins. This gene encodes a ribosomal protein that is a component of the 60S subunit. The protein belongs to the L1P family of ribosomal proteins. It is located in the cytoplasm. The expression of this gene is downregulated in the thymus by cyclosporin-A (CsA), an immunosuppressive drug. Studies in mice have shown that the expression of the ribosomal protein L10a gene is downregulated in neural precursor cells during development. This gene previously was referred to as NEDD6 (neural precursor cell expressed, developmentally downregulated 6), but it has been renamed RPL10A (ribosomal protein 10a). As is typical for genes encoding ribosomal proteins, there are multiple processed pseudogenes of this gene dispersed through the genome.
TRUSTED_SUSTAINABILITY
Specifications

Specifications

RPL10A
Recombinant Monoclonal
1 mg/mL
TBS with 40% glycerol, 0.05% BSA and 0.05% sodium azide; pH 7.4
P53026, P62906, P62907
RPL10A
Recombinant protein within human RPL10A aa 1-200/217.
100 μL
Primary
Human, Mouse, Rat
Antibody
IgG
Immunohistochemistry (Paraffin), Western Blot
JE64-41
Unconjugated
RPL10A
60S ribosomal protein L10a; CSA19; Csa-19; L10A; Large ribosomal subunit protein uL1; Nedd6; NEDD-6; Neural precursor cell expressed developmentally down-regulated protein 6; ribosomal protein L10a; RPL10A; Unknown (protein for MGC:73082); wu:fb94f08; zgc:73082; zgc:86881
Rabbit
Protein A
RUO
19896, 4736, 81729
Store at 4°C short term. For long term storage, store at -20°C, avoiding freeze/thaw cycles.
Liquid
Product Suggestions

Product Suggestions

Videos
SDS
Documents

Documents

Certificates
Promotions

Promotions

Product Content Correction

Your input is important to us. Please complete this form to provide feedback related to the content on this product.

Product Title

By clicking Submit, you acknowledge that you may be contacted by Fisher Scientific in regards to the feedback you have provided in this form. We will not share your information for any other purposes. All contact information provided shall also be maintained in accordance with our Privacy Policy.

Thank You! Your feedback has been submitted. Fisher Scientific is always working to improve our content for you. We appreciate your feedback.