missing translation for 'onlineSavingsMsg'
Learn More
Learn More
Invitrogen™ RPE65 Monoclonal Antibody (401.8B11.3D9)

Mouse Monoclonal Antibody
Brand: Invitrogen™ MA116578
This item is not returnable.
View return policy
Description
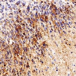
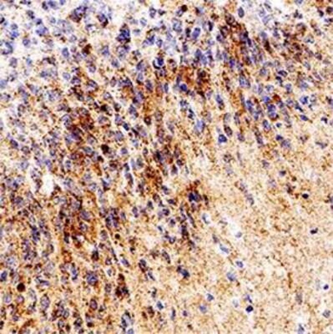
RPE65 Monoclonal Antibody for Western Blot, IHC (P), IHC (F), ICC/IF, Flow
RPE65 is a major protein of the retinal pigment epithelium (RPE). RPE65 is essential for the regeneration of rhodopsin in the visual cycle. Mutations in RPE65 are responsible for certain forms of autosomal recessive severe retinal dystrophy, including Leber Congenital Amaurosis (LCA). Loss of function results in a block in retinoid processing required for the synthesis of 11-cis retinal and the accumulation of retinyl esters in the RPE.
Specifications
| RPE65 | |
| Monoclonal | |
| 1 mg/mL | |
| PBS with 0.02% sodium azide | |
| O70276, Q16518, Q28175, Q91ZQ5, Q9TVB8, Q9YGX2 | |
| RPE65 | |
| Bovine RPE65 microsomal membrane proteins. | |
| 200 μL | |
| Primary | |
| Bovine, Canine, Chicken, Human, Mouse, Monkey, Pig, Rat, Frog | |
| Antibody | |
| IgG1 κ |
| Flow Cytometry, Immunohistochemistry (Frozen), Immunohistochemistry (Paraffin), Western Blot, Immunocytochemistry | |
| 401.8B11.3D9 | |
| Unconjugated | |
| RPE65 | |
| 65kDa; A930029L06Rik; all-trans-retinyl-palmitate hydrolase; BCO family, member 3; BCO3; LCA2; Lutein isomerase; membrane receptor p63; meso-zeaxanthin isomerase; modifier of retinal degeneration 1; Mord1; mRPE65; p63; RBP-binding membrane protein; rd12; retinal pigment epithelium 65; retinal pigment epithelium 65-like; retinal pigment epithelium abundant protein RPE65; retinal pigment epithelium specific protein 65; retinal pigment epithelium, 65 kDa; retinal pigment epithelium-specific 65 kDa protein; retinal pigment epithelium-specific 65kD protein; retinal pigment epithelium-specific protein (65kD); retinal pigment epithelium-specific protein 65kDa; retinal pigment epithelium-specific protein RPE65; Retinitis pigmentos; retinitis pigmentosa 20 (autosomal recessive); retinoid isomerohydrolase; retinoid isomerohydrolase RPE65; retinol isomerase; RP20; RPE65; rpe65 gene for retinal pigment epithelium-specific protein; RPE65, retinoid isomerohydrolase; sRPE65; truncated RPE65 | |
| Mouse | |
| Protein G | |
| RUO | |
| 100516743, 19892, 282043, 395700, 403803, 6121, 89826 | |
| -20°C or -80°C if preferred | |
| Liquid |
Product Content Correction
Your input is important to us. Please complete this form to provide feedback related to the content on this product.
Product Title
Spot an opportunity for improvement?Share a Content Correction