missing translation for 'onlineSavingsMsg'
Learn More

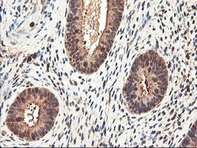
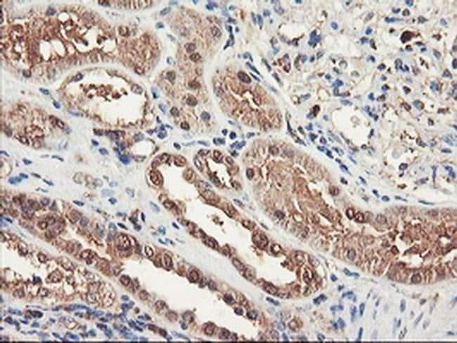
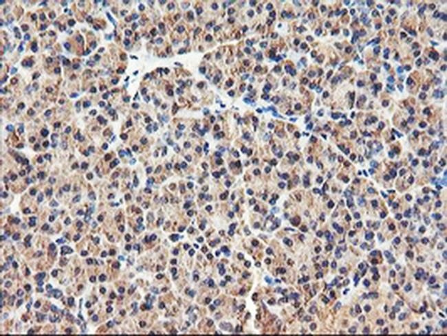
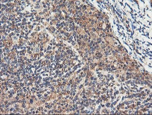
Invitrogen™ RNPEP Monoclonal Antibody (OTI3B5)

Mouse Monoclonal Antibody

Brand:  Invitrogen™ MA525783

Product Code. 15935384

  • £474.00 / 100µL

Please to purchase this item. Need a web account? Register with us today!

This item is not returnable. View return policy

Description

Description

RNPEP Monoclonal Antibody for Western Blot, ICC/IF, IHC (P), Flow

Exopeptidase which selectively removes arginine and/or lysine residues from the N-terminus of several peptide substrates including Arg(0)-Leu-enkephalin, Arg(0)-Met-enkephalin and Arg(-1)-Lys(0)-somatostatin-14. Can hydrolyze leukotriene A4 (LTA-4) into leukotriene B4 (LTB-4).
TRUSTED_SUSTAINABILITY
Specifications

Specifications

RNPEP
Monoclonal
0.77 mg/mL
PBS with 1% BSA, 50% glycerol and 0.02% sodium azide; pH 7.3
Q9H4A4
Rnpep
Full length human recombinant protein of RNPEP produced in HEK293T cell.
100 μL
Primary
Human
Antibody
IgG1
Flow Cytometry, Immunohistochemistry (Paraffin), Western Blot, Immunocytochemistry
OTI3B5
Unconjugated
Rnpep
aminopeptidase B; APB; AP-B; Arginine aminopeptidase; arginyl aminopeptidase; arginyl aminopeptidase (aminopeptidase B); cytosol aminopeptidase IV; Rnpep; zgc:100971
Mouse
Affinity Chromatography
RUO
6051
-20°C, Avoid Freeze/Thaw Cycles
Liquid
Product Suggestions

Product Suggestions

Videos
SDS
Documents

Documents

Certificates
Promotions

Promotions

Product Content Correction

Your input is important to us. Please complete this form to provide feedback related to the content on this product.

Product Title

By clicking Submit, you acknowledge that you may be contacted by Fisher Scientific in regards to the feedback you have provided in this form. We will not share your information for any other purposes. All contact information provided shall also be maintained in accordance with our Privacy Policy.

Thank You! Your feedback has been submitted. Fisher Scientific is always working to improve our content for you. We appreciate your feedback.