missing translation for 'onlineSavingsMsg'
Learn More

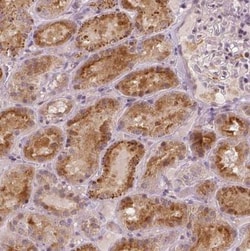
RNASE7 Antibody, Novus Biologicals™

Rabbit Polyclonal Antibody has been used in 2 publications

Brand:  Novus Biologicals NBP1-86134-25ul

 View more versions of this product

Product Code. 18480736

  • £231.00 / 25µL

Please to purchase this item. Need a web account? Register with us today!

This item is not returnable. View return policy

Description

Description

RNASE7 Polyclonal specifically detects RNASE7 in Human samples. It is validated for Western Blot, Immunohistochemistry, Immunocytochemistry/Immunofluorescence, Immunohistochemistry-Paraffin.
TRUSTED_SUSTAINABILITY
Specifications

Specifications

RNASE7
Polyclonal
Western Blot 0.4 μg/mL, Immunohistochemistry, Immunohistochemistry-Paraffin 1:500-1:1000
EC 3.1.27, EC 3.1.27.-, EC 3.1.27.5, MGC133220, ribonuclease 7, ribonuclease, RNase A family, 7, RNase 7, SAP-2, Skin-derived antimicrobial protein 2
Rabbit
Affinity Purified
RUO
Primary
Specificity of antibody verified on a Protein Array containing target protein plus 383 other non-specific proteins.
Store at 4°C short term. Aliquot and store at -20°C long term. Avoid freeze-thaw cycles.
Western Blot, Immunohistochemistry, Immunocytochemistry, Immunofluorescence, Immunohistochemistry (Paraffin)
Unconjugated
PBS (pH 7.2) and 40% Glycerol with 0.02% Sodium Azide
RNASE7
This antibody was developed against Recombinant Protein corresponding to amino acids:KGMTSSQWFKIQHMQPSPQACNSAMKNINKHTKRCKDLNTFLHEPFSSVAATCQTPKIACKNGDKNCHQSHGPVSLTMCKLTSGKYPNCRYKEKRQNKSYVVACKPPQKKDSQQFHLVPVHLDRV
25 μL
DNA replication Transcription Translation and Splicing
84659
Human
IgG
Product Suggestions

Product Suggestions

Videos
SDS
Documents

Documents

Certificates
Promotions

Promotions

Product Content Correction

Your input is important to us. Please complete this form to provide feedback related to the content on this product.

Product Title

By clicking Submit, you acknowledge that you may be contacted by Fisher Scientific in regards to the feedback you have provided in this form. We will not share your information for any other purposes. All contact information provided shall also be maintained in accordance with our Privacy Policy.

Thank You! Your feedback has been submitted. Fisher Scientific is always working to improve our content for you. We appreciate your feedback.

For Research Use Only