missing translation for 'onlineSavingsMsg'
Learn More

Rhot1 Antibody (CL1095) - Azide and BSA Free, Novus Biologicals™

Mouse Monoclonal Antibody

Brand:  Novus Biologicals NBP3-44064

Product Code. 30299020

  • £482.00 / 100µL

Please to purchase this item. Need a web account? Register with us today!

This item is not returnable. View return policy

Description

Description

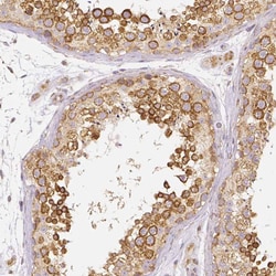
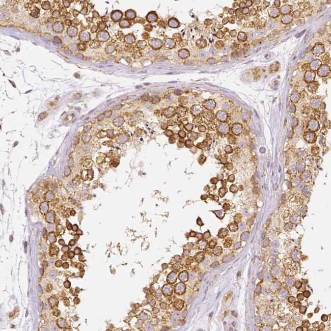
Rhot1 Monoclonal antibody specifically detects Rhot1 in Human samples. It is validated for Immunohistochemistry (Paraffin),Immunohistochemistry
TRUSTED_SUSTAINABILITY
Specifications

Specifications

Rhot1
Monoclonal
LYOPH
Immunohistochemistry-Paraffin 1:200 - 1:500
ARHT1, EC 3.6.5, EC 3.6.5.-, FLJ11040, FLJ12633, hMiro-1, MIRO-1mitochondrial Rho GTPase 1, mitochondrial Rho 1, rac-GTP binding protein-like protein, Rac-GTP-binding protein-like protein, Ras homolog gene family member T1, ras homolog gene family, member T1
This antibody was generated using a recombinant protein sequence of Q8IXI2, with the exact immunogen sequence remaining proprietary.
100 μL
Signal Transduction
55288
Human
Purified
Immunohistochemistry (Paraffin), Immunohistochemistry
CL1095
Unconjugated
Lyophilized in 5% Trehalose.
Mouse
Protein A purified
RUO
Primary
Centrifuge the vial of lyophilized antibody at 12,000 x g for 20 seconds. Reconstitute by adding sterile, distilled water to achieve a final antibody concentration of 1mg/mL.
Store at 4⪚C short term. Aliquot and store at -20⪚C long term. Avoid freeze-thaw cycles.
IgG1
Product Suggestions

Product Suggestions

Videos
SDS
Documents

Documents

Certificates
Promotions

Promotions

Product Content Correction

Your input is important to us. Please complete this form to provide feedback related to the content on this product.

Product Title

By clicking Submit, you acknowledge that you may be contacted by Fisher Scientific in regards to the feedback you have provided in this form. We will not share your information for any other purposes. All contact information provided shall also be maintained in accordance with our Privacy Policy.

Thank You! Your feedback has been submitted. Fisher Scientific is always working to improve our content for you. We appreciate your feedback.