missing translation for 'onlineSavingsMsg'
Learn More
Learn More
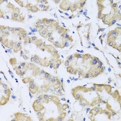
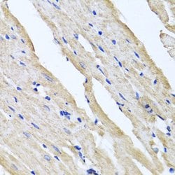
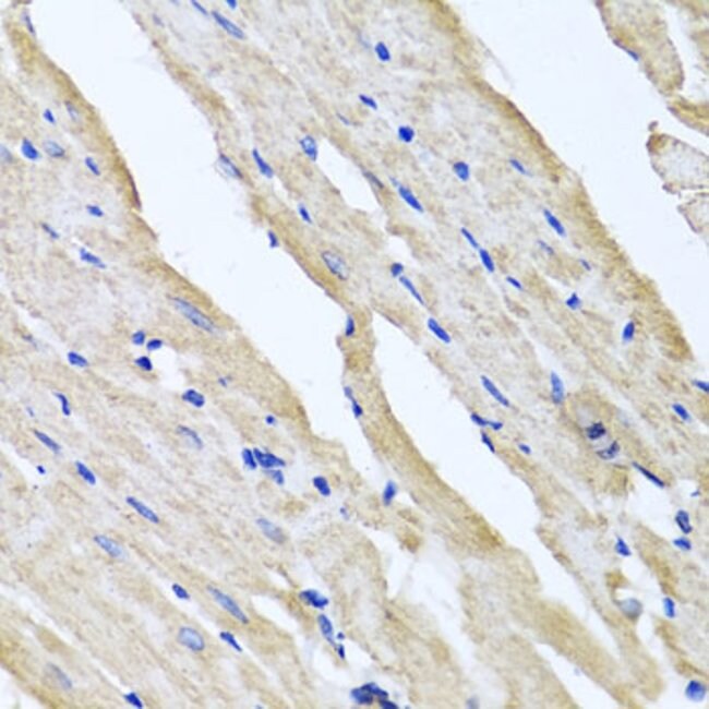
Invitrogen™ RCN2 Polyclonal Antibody

Rabbit Polyclonal Antibody
Brand: Invitrogen™ PA576247
This item is not returnable.
View return policy
Description
The antibody was affinity-purified from rabbit antiserum by affinity-chromatography using epitope-specific immunogen and the purity is > 95% (by SDS-PAGE).
The protein encoded by this gene is a calcium-binding protein located in the lumen of the ER. The protein contains six conserved regions with similarity to a high affinity Ca(+2)-binding motif, the EF-hand. This gene maps to the same region as type 4 Bardet-Biedl syndrome, suggesting a possible causative role for this gene in the disorder. Alternatively spliced transcript variants encoding different isoforms have been found for this gene.
Specifications
| RCN2 | |
| Polyclonal | |
| Unconjugated | |
| RCN2 | |
| AA408742; Calcium-binding protein ERC-55; E6-binding protein; E6BP; ERC55; ERC-55; RCN2; reticulocalbin 2; reticulocalbin 2, EF-hand calcium binding domain; reticulocalbin 2, EF-hand calcium binding domain (endoplasmic reticulum calcium-binding protein, 55kD); reticulocalbin-2; taipoxin-associated calcium binding protein 49; taipoxin-associated calcium-binding protein 49; TCBP49; TCBP-49 | |
| Rabbit | |
| Antigen Affinity Chromatography | |
| RUO | |
| 26611, 29218, 5955 | |
| Store at 4°C short term. For long term storage, store at -20°C, avoiding freeze/thaw cycles. | |
| Liquid |
| Immunohistochemistry (Paraffin), Western Blot | |
| 1 mg/mL | |
| PBS with 50% glycerol and 0.02% sodium azide; pH 7.2 | |
| Q14257, Q62703, Q8BP92 | |
| RCN2 | |
| Recombinant protein of human RCN2. | |
| 100 μL | |
| Primary | |
| Human, Mouse, Rat | |
| Antibody | |
| IgG |
Product Content Correction
Your input is important to us. Please complete this form to provide feedback related to the content on this product.
Product Title
Spot an opportunity for improvement?Share a Content Correction