missing translation for 'onlineSavingsMsg'
Learn More

RBFOX3/NeuN Rabbit anti-Human, Mouse, Clone: NeuN/288R, Novus Biologicals™

Product Code. 18346864 Shop All Bio Techne Products
Change view
Click to view available options
Quantity:
100 μg
20 μg
Unit Size:
100µg
20µg
2 product options available for selection
Product selection table with 2 available options. Use arrow keys to navigate and Enter or Space to select.
Product Code. Quantity unitSize
18346864 100 μg 100µg
18319566 20 μg 20µg
Use arrow keys to navigate between rows. Press Enter or Space to select a product option. 2 options available.
2 options
This item is not returnable. View return policy
Product Code. 18346864 Supplier Novus Biologicals Supplier No. NBP313857100UG

Please to purchase this item. Need a web account? Register with us today!

This item is not returnable. View return policy

Rabbit Monoclonal Antibody

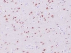
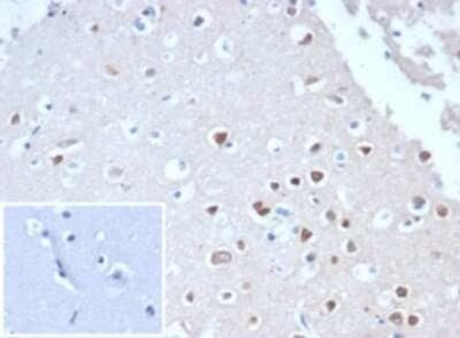
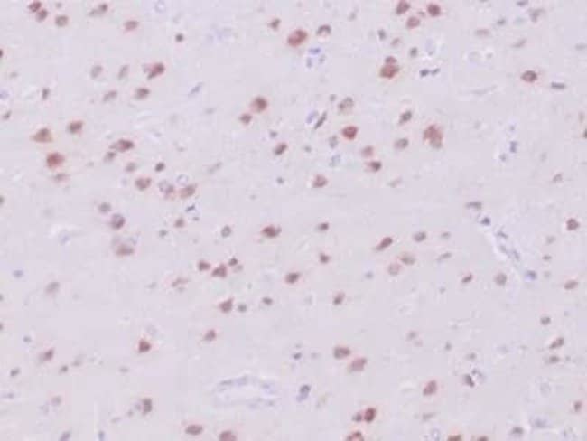
RBFOX3/NeuN Monoclonal antibody specifically detects RBFOX3/NeuN in Human, Mouse samples. It is validated for Western Blot, Immunohistochemistry (Paraffin)
TRUSTED_SUSTAINABILITY

Specifications

Antigen RBFOX3/NeuN
Applications Western Blot, Immunohistochemistry (Paraffin)
Classification Monoclonal
Clone NeuN/288R
Concentration 0.2 mg/ml
Conjugate Unconjugated
Dilution Western Blot 1-2 ug/ml, Immunohistochemistry-Paraffin 1-2 ug/ml
Formulation 10 mM PBS with 0.05% BSA
Gene Accession No. A6NFN3
Gene Alias FLJ56884, FLJ58356, Fox-1 homolog C, FOX3, FOX-3, hexaribonucleotide binding protein 3, HRNBP3, NeuN, neuN antigen, neuronal nuclei, neuronal nuclei antigen, RBFOX3, RNA binding protein fox-1 homolog 3, RNA binding protein, fox-1 homolog (C. elegans) 3, RNA binding protein, fox-1 homolog 3
Host Species Rabbit
Immunogen Recombinant full-length human RBFOX3/NeuN protein (Uniprot: A6NFN3)
Purification Method Protein A or G purified
Quantity 100 μg
Regulatory Status RUO
Research Discipline DNA Replication Transcription Translation and Splicing, Neuronal Cell Markers, Neuroscience
Primary or Secondary Primary
Gene ID (Entrez) 146713
Target Species Human, Mouse
Content And Storage Store at 4°C.
Form Purified
Isotype IgG κ
Show More Show Less
Product Title
Select an issue

By clicking Submit, you acknowledge that you may be contacted by Fisher Scientific in regards to the feedback you have provided in this form. We will not share your information for any other purposes. All contact information provided shall also be maintained in accordance with our Privacy Policy.