missing translation for 'onlineSavingsMsg'
Learn More

RAP74 Antibody (OTI4B10) - Azide and BSA Free, Novus Biologicals™

Product Code. 18329926 Shop All Bio Techne Products
Change view
Click to view available options
Quantity:
100 μg
Unit Size:
100µg
1 product options available for selection
Product selection table with 1 available options. Use arrow keys to navigate and Enter or Space to select.
Product Code. Quantity unitSize
18329926 100 μg 100µg
Use arrow keys to navigate between rows. Press Enter or Space to select a product option. 1 options available.
1 options
This item is not returnable. View return policy
Product Code. 18329926 Supplier Novus Biologicals Supplier No. NBP317972

Please to purchase this item. Need a web account? Register with us today!

This item is not returnable. View return policy

Mouse Monoclonal Antibody

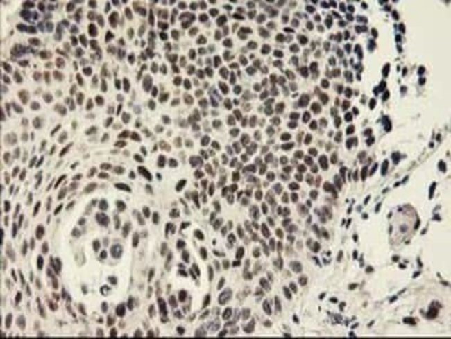
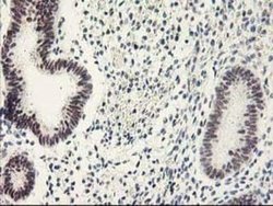
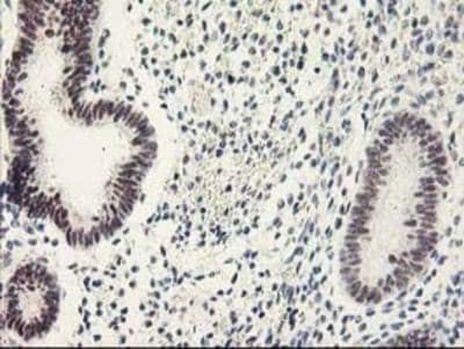
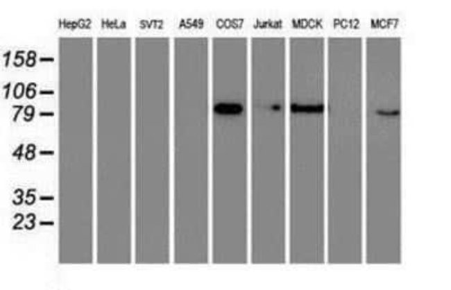
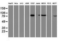
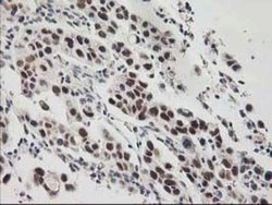
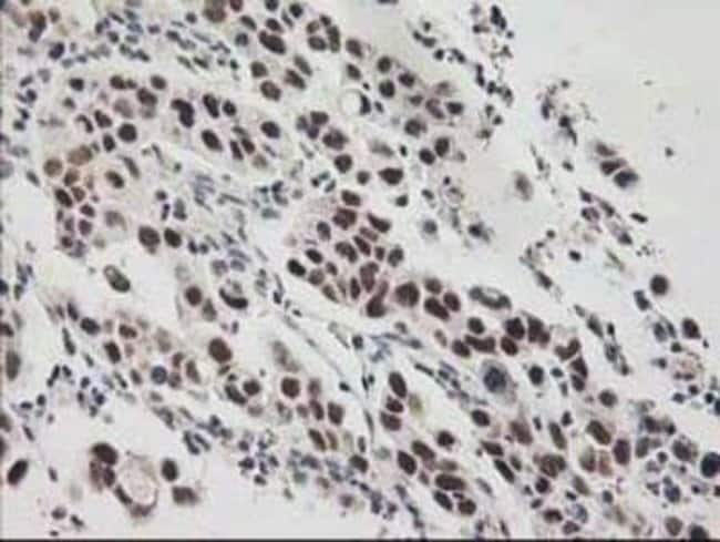
RAP74 Monoclonal antibody specifically detects RAP74 in Human, Mouse, Rat, Canine, Primate, Monkey samples. It is validated for Western Blot, Flow Cytometry, Immunohistochemistry, CyTOF
TRUSTED_SUSTAINABILITY

Specifications

Antigen RAP74
Applications Western Blot, Flow Cytometry, Immunohistochemistry, CyTOF
Classification Monoclonal
Clone OTI4B10
Concentration LYOPH
Conjugate Unconjugated
Dilution Western Blot 1:500-2000, Flow Cytometry 1:100, Immunohistochemistry 1:150, CyTOF-ready
Formulation Lyophilized from PBS (pH 7.3) with 8% Trehalose
Gene Alias BTF4, General transcription factor IIF 74 kDa subunit, general transcription factor IIF subunit 1, general transcription factor IIF, polypeptide 1, 74kDa, TF2F1, TFIIF, TFIIF-alpha, Transcription initiation factor IIF subunit alpha, transcription initiation factor RAP74
Host Species Mouse
Immunogen Full length human recombinant protein of human GTF2F1(NP_002087) produced in HEK293T cell.
Purification Method Immunogen affinity purified
Quantity 100 μg
Regulatory Status RUO
Research Discipline Chromatin Research
Primary or Secondary Primary
Gene ID (Entrez) 2962
Reconstitution Reconstitute with PBS (pH 7.3). To use this carrier-free antibody for conjugation experiments, another round of desalting is highly recommended.
Target Species Human, Mouse, Rat, Canine, Primate, Monkey
Content And Storage Store at -20C. Avoid freeze-thaw cycles.
Form Purified
Isotype IgG1
Show More Show Less
Product Title
Select an issue

By clicking Submit, you acknowledge that you may be contacted by Fisher Scientific in regards to the feedback you have provided in this form. We will not share your information for any other purposes. All contact information provided shall also be maintained in accordance with our Privacy Policy.