Learn More
Invitrogen™ RALBP1 Recombinant Rabbit Monoclonal Antibody (5C10W9)

Rabbit Recombinant Monoclonal Antibody
Brand: Invitrogen™ MA542934
Description
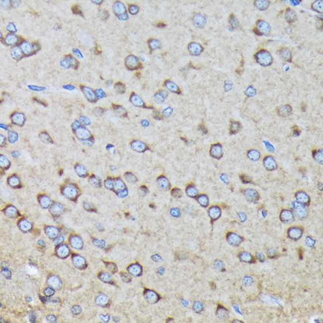
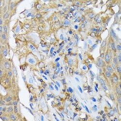
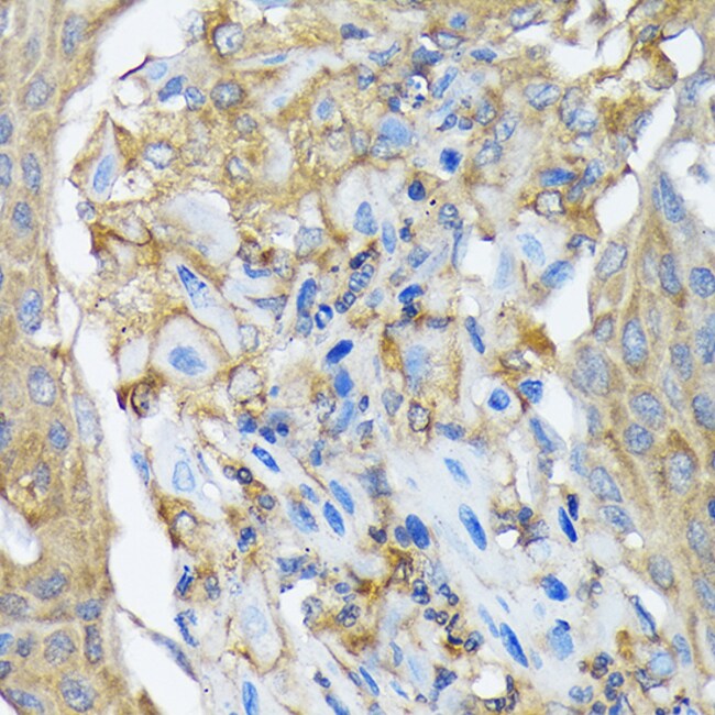
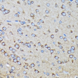
Positive test controls include: THP-1, C6. The target is usually found in the following locations: Membrane, Peripheral membrane protein. Immunogen sequence: RTMMYDGIRL PAVFRECIDY VEKYGMKCEG IYRVSGIKSK VDELKAAYDR EESTNLEDYE PNTVASLLKQ YLRDLPENLL TKELMPRFEE ACGRTTETEK V.
Can specifically activate hydrolysis of GTP bound to RAC1 and CDC42, but not RALA. Mediates ATP-dependent transport of S-(2,4-dinitrophenyl)-glutathione (DNP-SG) and doxorubicin (DOX) and is the major ATP-dependent transporter of glutathione conjugates of electrophiles (GS-E) and DOX in erythrocytes. Can catalyze transport of glutathione conjugates and xenobiotics, and may contribute to the multidrug resistance phenomenon. Serves as a scaffold protein that brings together proteins forming an endocytotic complex during interphase and also with CDC2 to switch off endocytosis, One of its substrates would be EPN1/Epsin.
Specifications
| RALBP1 | |
| Recombinant Monoclonal | |
| 0.18 mg/mL | |
| PBS with 0.05% BSA, 50% glycerol and 0.02% sodium azide; pH 7.3 | |
| Q15311, Q62172, Q62796 | |
| RALBP1 | |
| A synthetic peptide corresponding to a sequence within amino acids 200-300 of human RALBP1 (Q15311). | |
| 100 μL | |
| Primary | |
| Human, Mouse, Rat | |
| Antibody | |
| IgG |
| ELISA, Immunohistochemistry (Paraffin), Western Blot, Immunocytochemistry | |
| 5C10W9 | |
| Unconjugated | |
| RALBP1 | |
| 76 kDa Ral-interacting protein; Cytocentrin; dinitrophenyl S-glutathione ATPase; DNP-SG ATPase; ralA binding protein 1; ralA-binding protein 1; RALBP1; Ral-interacting protein 1; RIP; RIP1; RLIP1; RLIP76 | |
| Rabbit | |
| Affinity chromatography | |
| RUO | |
| 10928, 19765, 84014 | |
| -20°C, Avoid Freeze/Thaw Cycles | |
| Liquid |
Your input is important to us. Please complete this form to provide feedback related to the content on this product.