missing translation for 'onlineSavingsMsg'
Learn More

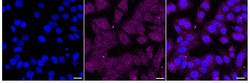
Invitrogen™ RAD21 Recombinant Rabbit Monoclonal Antibody (24GB1390)

Rabbit Recombinant Monoclonal Antibody

Brand:  Invitrogen™ MA557671

 View more versions of this product

Product Code. 30275293

  • £172.00 / 20µL

Please to purchase this item. Need a web account? Register with us today!

This item is not returnable. View return policy

Description

Description

RAD21 Recombinant Monoclonal Antibody for Western Blot, ICC/IF, Flow

This gene encodes a nuclear protein that regulates transcriptional elongation and pre-mRNA splicing. The encoded protein interacts with the hyperphosphorylated C-terminal domain of RNA polymerase II via multiple FF domains, and with the pre-mRNA splicing factor SF1 via a WW domain. Alternative splicing results in multiple transcripts variants encoding different isoforms.
TRUSTED_SUSTAINABILITY
Specifications

Specifications

RAD21
Recombinant Monoclonal
1 mg/mL
PBS with 50% glycerol and 0.02% sodium azide; pH 7.4
O60216, Q61550
Rad21
A synthesized peptide derived from human RAD21 (aa 600-631).
20 μL
Primary
Human, Mouse, Rat
Antibody
IgG
Flow Cytometry, Western Blot, Immunocytochemistry
24GB1390
Unconjugated
Rad21
64-kDa carboxy-terminal product; 64-kDa C-terminal product; 65-kDa carboxy-terminal product; CDLS4; double-strand-break repair protein rad21 homolog; double-strand-break repair protein rad21-like protein; FLJ25655; FLJ40596; h NXP-1; hHR21; HR21; HRAD21; KIAA0078; KIAA0078RAD21; kleisin; MCD1; mHR21; mKIAA0078; nuclear matrix protein 1; NXP1; NXP-1; Pokeweed agglutinin-binding protein 29; protein involved in DNA double-strand break repair; PW29; Rad21; RAD21 cohesin complex component; RAD21 homolog; RAD21 homolog (S. pombe); SCC1; SCC1 homolog; sister chromatid cohesion 1
Rabbit
Affinity chromatography
RUO
19357, 314949, 5885
-20°C
Liquid
Product Suggestions

Product Suggestions

Videos
SDS
Documents

Documents

Certificates
Promotions

Promotions

Product Content Correction

Your input is important to us. Please complete this form to provide feedback related to the content on this product.

Product Title

By clicking Submit, you acknowledge that you may be contacted by Fisher Scientific in regards to the feedback you have provided in this form. We will not share your information for any other purposes. All contact information provided shall also be maintained in accordance with our Privacy Policy.

Thank You! Your feedback has been submitted. Fisher Scientific is always working to improve our content for you. We appreciate your feedback.