missing translation for 'onlineSavingsMsg'
Learn More

VIP Rabbit anti-Human, Polyclonal Antibody, Abnova™

Rabbit polyclonal antibody raised against synthetic peptide of VIP.

Brand:  Abnova PAB25075.100uL

Product Code. 16015307

  • £432.00 / 100µL

Please to purchase this item. Need a web account? Register with us today!

This item is not returnable. View return policy

Description

Description

The protein encoded by this gene belongs to the glucagon family. It stimulates myocardial contractility, causes vasodilation, increases glycogenolysis, lowers arterial blood pressure and relaxes the smooth muscle of trachea, stomach and gall bladder. Alternative splicing occurs at this locus and two transcript variants encoding distinct isoforms have been identified. [provided by RefSeq

Specifications

Specifications

VIP
Polyclonal
Unconjugated
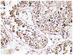
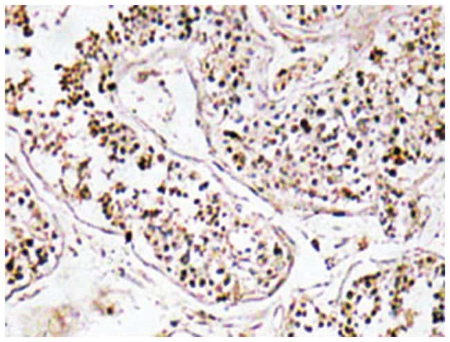
Immunohistochemistry (1:50-1:200) The optimal working dilution should be determined by the end user.
VIP
VIP
A synthetic peptide corresponding to VIP.
100 μL
Primary
VIP polyclonal antibody detects endogenous levels of VIP protein.
Store at 4°C. For long term storage store at -20°C.
Aliquot to avoid repeated freezing and thawing.
Immunohistochemistry (PFA fixed)
1 mg/mL
Rabbit polyclonal antibody raised against synthetic peptide of VIP.
In PBS, pH 7.2 (0.05% sodium azide)
MGC13587/PHM27
Rabbit
Affinity purification
RUO
7432
Human
Liquid
Product Suggestions

Product Suggestions

Videos
SDS
Documents

Documents

Certificates
Promotions

Promotions

Product Content Correction

Your input is important to us. Please complete this form to provide feedback related to the content on this product.

Product Title

By clicking Submit, you acknowledge that you may be contacted by Fisher Scientific in regards to the feedback you have provided in this form. We will not share your information for any other purposes. All contact information provided shall also be maintained in accordance with our Privacy Policy.

Thank You! Your feedback has been submitted. Fisher Scientific is always working to improve our content for you. We appreciate your feedback.

For Research Use Only