missing translation for 'onlineSavingsMsg'
Learn More

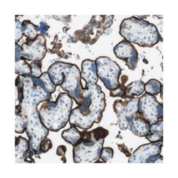
SDC1 Rabbit anti-Human, Polyclonal Antibody, Abnova™

Rabbit polyclonal antibody raised against recombinant SDC1.

Brand:  Abnova PAB20340.100uL

Product Code. 16143430

  • £432.00 / 100µL

Please to purchase this item. Need a web account? Register with us today!

This item is not returnable. View return policy

Description

Description

The protein encoded by this gene is a transmembrane (type I) heparan sulfate proteoglycan and is a member of the syndecan proteoglycan family. The syndecans mediate cell binding, cell signaling, and cytoskeletal organization and syndecan receptors are required for internalization of the HIV-1 tat protein. The syndecan-1 protein functions as an integral membrane protein and participates in cell proliferation, cell migration and cell-matrix interactions via its receptor for extracellular matrix proteins. Altered syndecan-1 expression has been detected in several different tumor types. While several transcript variants may exist for this gene, the full-length natures of only two have been described to date. These two represent the major variants of this gene and encode the same protein. [provided by RefSeq

Sequence: TTTATTAQEPATSHPHRDMQPGHHETSTPAGPSQADLHTPHTEDGGPSATERAAEDGASSQLPAAEGSGEQDFTFETSGENTAVVAVEPDRRNQSPVDQ
Specifications

Specifications

SDC1
Polyclonal
Rabbit polyclonal antibody raised against recombinant SDC1.
In PBS, pH 7.5 (40% glycerol, 0.02% sodium azide)
CD138/SDC/SYND1/syndecan
Rabbit
Antigen affinity purification
RUO
6382
Store at 4°C. For long term storage store at -20°C.
Aliquot to avoid repeated freezing and thawing.
IgG
Immunofluorescence, Immunohistochemistry (PFA fixed)
Unconjugated
Immunohistochemistry (1:200-1:500) Immunofluorescence (1-4 ug/mL) The optimal working dilution should be determined by the end user.
SDC1
SDC1
Recombinant protein corresponding to amino acids of human SDC1.
100 μL
Primary
Human
Liquid
Product Suggestions

Product Suggestions

Videos
SDS
Documents

Documents

Certificates
Promotions

Promotions

Product Content Correction

Your input is important to us. Please complete this form to provide feedback related to the content on this product.

Product Title

By clicking Submit, you acknowledge that you may be contacted by Fisher Scientific in regards to the feedback you have provided in this form. We will not share your information for any other purposes. All contact information provided shall also be maintained in accordance with our Privacy Policy.

Thank You! Your feedback has been submitted. Fisher Scientific is always working to improve our content for you. We appreciate your feedback.

For Research Use Only