missing translation for 'onlineSavingsMsg'
Learn More

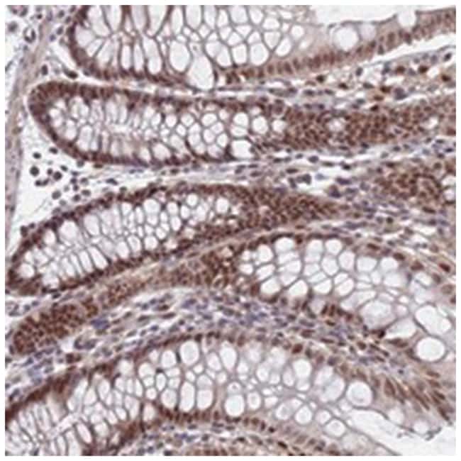
RPP25, Rabbit, Polyclonal Antibody, Abnova™

Rabbit polyclonal antibody raised against recombinant RPP25.

Brand:  Abnova PAB24518.100uL

Product Code. 16186350

  • £535.00 / 100µL

Please to purchase this item. Need a web account? Register with us today!

This item is not returnable. View return policy

Description

Description

Sequence: ASLSVLKNVPGLAILLSKDALDPRQPGYQPPNPHPGPSSPPAAPASKRSLGEPAAGEGSAKRSQPEP
Specifications

Specifications

RPP25
Polyclonal
Rabbit polyclonal antibody raised against recombinant RPP25.
In PBS, pH 7.5 (40% glycerol, 0.02% sodium azide)
FLJ20374
Rabbit
Antigen affinity purification
RUO
54913
Store at 4°C. For long term storage store at -20°C.
Aliquot to avoid repeated freezing and thawing.
IgG
Immunofluorescence, Immunohistochemistry (PFA fixed)
Unconjugated
Immunohistochemistry (1:50-1:200) The optimal working dilution should be determined by the end user.
RPP25
RPP25
Recombinant protein corresponding to amino acids of human RPP25.
100 μL
Primary
Human
Liquid
Product Suggestions

Product Suggestions

Videos
SDS
Documents

Documents

Certificates
Promotions

Promotions

Product Content Correction

Your input is important to us. Please complete this form to provide feedback related to the content on this product.

Product Title

By clicking Submit, you acknowledge that you may be contacted by Fisher Scientific in regards to the feedback you have provided in this form. We will not share your information for any other purposes. All contact information provided shall also be maintained in accordance with our Privacy Policy.

Thank You! Your feedback has been submitted. Fisher Scientific is always working to improve our content for you. We appreciate your feedback.

For Research Use Only