missing translation for 'onlineSavingsMsg'
Learn More

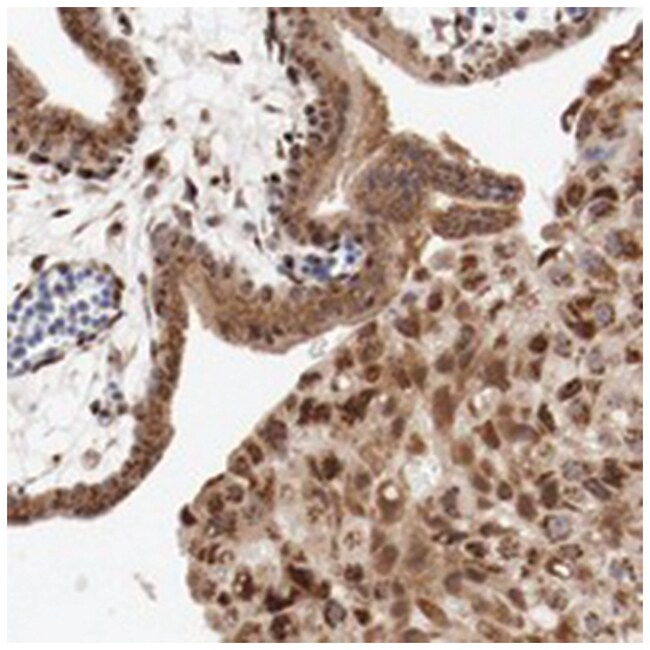
RPL12 Rabbit anti-Human, Polyclonal Antibody, Abnova™

Rabbit polyclonal antibody raised against recombinant RPL12.

Brand:  Abnova PAB20207.100uL

Product Code. 16183320

  • £535.00 / 100µL

Please to purchase this item. Need a web account? Register with us today!

This item is not returnable. View return policy

Description

Description

Ribosomes, the organelles that catalyze protein synthesis, consist of a small 40S subunit and a large 60S subunit. Together these subunits are composed of 4 RNA species and approximately 80 structurally distinct proteins. This gene encodes a ribosomal protein that is a component of the 60S subunit. The protein belongs to the L11P family of ribosomal proteins. It is located in the cytoplasm. The protein binds directly to the 26S rRNA. This gene is co-transcribed with the U65 snoRNA, which is located in its fourth intron. As is typical for genes encoding ribosomal proteins, there are multiple processed pseudogenes of this gene dispersed through the genome. [provided by RefSeq

Sequence: KVVYLRCTGGEVGATSALAPKIGPLGLSPKKVGDDIAKATGDWKGLRITVKLTIQNRQAQIEVVPSASALIIKALKEPPRDRKKQKNIKHSGNITFDEIVNIARQMRHRSLARELSGTIKEILGTAQSVGCNVDGRHPHDIIDD
Specifications

Specifications

RPL12
Polyclonal
Rabbit polyclonal antibody raised against recombinant RPL12.
In PBS, pH 7.5 (40% glycerol, 0.02% sodium azide)
RPL12
Recombinant protein corresponding to amino acids of human RPL12.
100 μL
Primary
Human
Liquid
Immunohistochemistry (PFA fixed), Western Blot
Unconjugated
Immunohistochemistry (1:20-1:50) Western Blot (1:250-1:500) The optimal working dilution should be determined by the end user.
RPL12
Rabbit
Antigen affinity purification
RUO
6136
Store at 4°C. For long term storage store at -20°C.
Aliquot to avoid repeated freezing and thawing.
IgG
Product Suggestions

Product Suggestions

Videos
SDS
Documents

Documents

Certificates
Promotions

Promotions

Product Content Correction

Your input is important to us. Please complete this form to provide feedback related to the content on this product.

Product Title

By clicking Submit, you acknowledge that you may be contacted by Fisher Scientific in regards to the feedback you have provided in this form. We will not share your information for any other purposes. All contact information provided shall also be maintained in accordance with our Privacy Policy.

Thank You! Your feedback has been submitted. Fisher Scientific is always working to improve our content for you. We appreciate your feedback.

For Research Use Only