missing translation for 'onlineSavingsMsg'
Learn More

RPGRIP1L, Rabbit, Polyclonal Antibody, Abnova™

Rabbit polyclonal antibody raised against recombinant RPGRIP1L.

Brand:  Abnova PAB23540.100uL

Product Code. 16136050

  • £535.00 / 100µL

Please to purchase this item. Need a web account? Register with us today!

This item is not returnable. View return policy

Description

Description

The protein encoded by this gene can localize to the basal body-centrosome complex or to primary cilia and centrosomes in ciliated cells. The encoded protein has been found to interact with nephrocystin-4. Defects in this gene are a cause of Joubert syndrome type 7 (JBTS7) and Meckel syndrome type 5 (MKS5). Two transcript variants encoding different isoforms have been found for this gene. [provided by RefSeq

Sequence: KNTITLEVHQAYSTEYETIAACQLKFHEILEKSGRIFCTASLIGTKGDIPNFGTVEYWFRLRVPMDQAIRLYRERAKALGYITSNFKGPEHMQSLSQQAPKTAQLSSTDSTDGNL
Specifications

Specifications

RPGRIP1L
Polyclonal
Rabbit polyclonal antibody raised against recombinant RPGRIP1L.
In PBS, pH 7.5 (40% glycerol, 0.02% sodium azide)
CORS3/DKFZp686C0668/JBTS7/KIAA1005/MKS5/NPHP8
Rabbit
Antigen affinity purification
RUO
23322
Store at 4°C. For long term storage store at -20°C.
Aliquot to avoid repeated freezing and thawing.
IgG
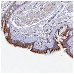
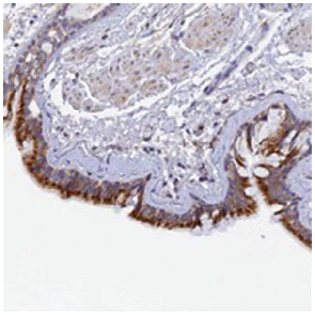
Immunohistochemistry (PFA fixed)
Unconjugated
Immunohistochemistry (1:50-1:200) The optimal working dilution should be determined by the end user.
RPGRIP1L
RPGRIP1L
Recombinant protein corresponding to amino acids of human RPGRIP1L.
100 μL
Primary
Human
Liquid
Product Suggestions

Product Suggestions

Videos
SDS
Documents

Documents

Certificates
Promotions

Promotions

Product Content Correction

Your input is important to us. Please complete this form to provide feedback related to the content on this product.

Product Title

By clicking Submit, you acknowledge that you may be contacted by Fisher Scientific in regards to the feedback you have provided in this form. We will not share your information for any other purposes. All contact information provided shall also be maintained in accordance with our Privacy Policy.

Thank You! Your feedback has been submitted. Fisher Scientific is always working to improve our content for you. We appreciate your feedback.

For Research Use Only