missing translation for 'onlineSavingsMsg'
Learn More

RFK, Rabbit, Polyclonal Antibody, Abnova™

Rabbit polyclonal antibody raised against synthetic peptide of RFK.

Brand:  Abnova PAB2744.400uL

Product Code. 16087487

  • £332.00 / 400µL

Please to purchase this item. Need a web account? Register with us today!

This item is not returnable. View return policy

Description

Description

Riboflavin kinase (RFK) is an essential enzyme catalyzing the phosphorylation of riboflavin (vitamin B2) to form flavin mononucleotide (FMN), an obligatory step in vitamin B2 utilization and flavin cofactor synthesis (Karthikeyan et al., 2003 [PubMed 12623014]).[supplied by OMIM

Specifications

Specifications

RFK
Polyclonal
Rabbit polyclonal antibody raised against synthetic peptide of RFK.
In PBS (0.09% sodium azide)
FLJ11149/RIFK
Rabbit
Protein G purification
RUO
55312
Store at 4°C. For long term storage store at -20°C.
Aliquot to avoid repeated freezing and thawing.
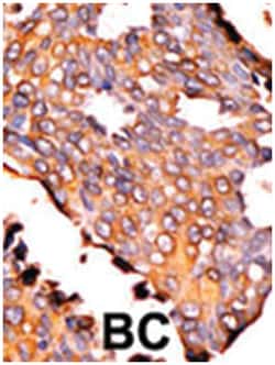
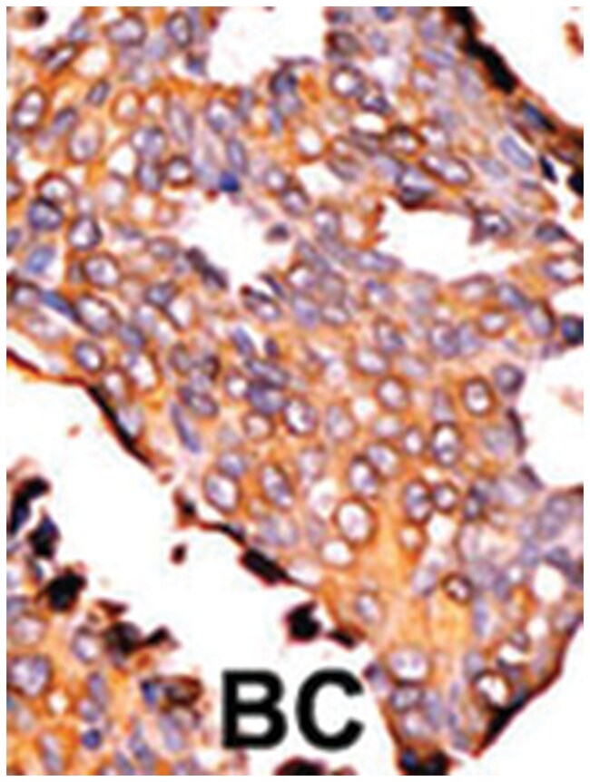
Immunohistochemistry (PFA fixed), Western Blot
Unconjugated
Western Blot (1:1000) Immunohistochemistry (1:50-100) The optimal working dilution should be determined by the end user.
RFK
RFK
A synthetic peptide (conjugated with KLH) corresponding to N-terminus of human RFK.
400 μL
Primary
Human
Liquid
Product Suggestions

Product Suggestions

Videos
SDS
Documents

Documents

Certificates
Promotions

Promotions

Product Content Correction

Your input is important to us. Please complete this form to provide feedback related to the content on this product.

Product Title

By clicking Submit, you acknowledge that you may be contacted by Fisher Scientific in regards to the feedback you have provided in this form. We will not share your information for any other purposes. All contact information provided shall also be maintained in accordance with our Privacy Policy.

Thank You! Your feedback has been submitted. Fisher Scientific is always working to improve our content for you. We appreciate your feedback.

For Research Use Only