missing translation for 'onlineSavingsMsg'
Learn More

RAPGEF4, Rabbit, Polyclonal Antibody, Abnova™

Rabbit polyclonal antibody raised against synthetic peptide of RAPGEF4.

Brand:  Abnova PAB25776.100ug

Product Code. 16025957

  • £535.00 / 100µg

Please to purchase this item. Need a web account? Register with us today!

This item is not returnable. View return policy

Description

Description

Specifications

Specifications

RAPGEF4
Polyclonal
Unconjugated
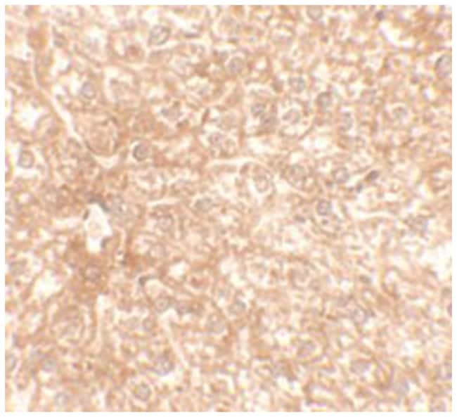
Western Blot (1 ug/mL) Immunohistochemistry (2.5 ug/mL) The optimal working dilution should be determined by the end user.
RAPGEF4
RAPGEF4
A synthetic peptide corresponding to 15 amino acids at N-terminus of human RAPGEF4.
100 μg
Primary
At least two isoforms of EPAC2 are known to exist; this antibody will detect only the larger isoform. EPAC2 antibody is predicted to not cross-react with EPAC2.
Store at 4°C for three months. For long term storage store at -20°C.
Aliquot to avoid repeated freezing and thawing.
IgG
ELISA, Immunohistochemistry, Western Blot
1 mg/mL
Rabbit polyclonal antibody raised against synthetic peptide of RAPGEF4.
In PBS (0.02% sodium azide)
CAMP-GEFII/CGEF2/EPAC2/Nbla00496
Rabbit
Peptide affinity purification
RUO
11069
Human, Mouse, Rat
Liquid
Product Suggestions

Product Suggestions

Videos
SDS
Documents

Documents

Certificates
Promotions

Promotions

Product Content Correction

Your input is important to us. Please complete this form to provide feedback related to the content on this product.

Product Title

By clicking Submit, you acknowledge that you may be contacted by Fisher Scientific in regards to the feedback you have provided in this form. We will not share your information for any other purposes. All contact information provided shall also be maintained in accordance with our Privacy Policy.

Thank You! Your feedback has been submitted. Fisher Scientific is always working to improve our content for you. We appreciate your feedback.

For Research Use Only