missing translation for 'onlineSavingsMsg'
Learn More

PIK3R1/PIK3R3 Rabbit anti-Human, Mouse, Rat, Polyclonal Antibody, Abnova™

Rabbit polyclonal antibody raised against synthetic peptide of PIK3R1/PIK3R3.

Brand:  Abnova PAB18440.100ug

Product Code. 16142950

  • £349.00 / 100µg

Please to purchase this item. Need a web account? Register with us today!

This item is not returnable. View return policy

Description

Description

Specifications

Specifications

PIK3R1/PIK3R3
Polyclonal
Unconjugated
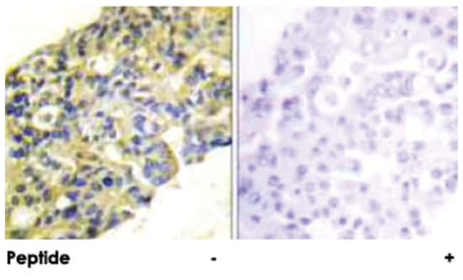
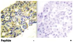
Western Blot (1:500-1:1000) Immunohistochemistry (1:50-1:100) Immunofluorescence (1:500) ELISA (1:5000) The optimal working dilution should be determined by the end user.
GRB1/p85/p85-ALPHA
Rabbit
Affinity purification
RUO
5295/8503
Human, Mouse, Rat
Liquid
ELISA, Immunofluorescence, Immunohistochemistry (PFA fixed), Western Blot
1 mg/mL
Rabbit polyclonal antibody raised against synthetic peptide of PIK3R1/PIK3R3.
In PBS, 150mM NaCl, pH 7.4 (50% glycerol, 0.02% sodium azide)
PIK3R1
A synthetic peptide corresponding to residues surrounding Y468/Y199 of human PIK3R1/PIK3R3.
100 μg
Primary
This antibody is specific to PIK3R1/PIK3R3.
Store at -20°C.
Aliquot to avoid repeated freezing and thawing.
Product Suggestions

Product Suggestions

Videos
SDS
Documents

Documents

Certificates
Promotions

Promotions

Product Content Correction

Your input is important to us. Please complete this form to provide feedback related to the content on this product.

Product Title

By clicking Submit, you acknowledge that you may be contacted by Fisher Scientific in regards to the feedback you have provided in this form. We will not share your information for any other purposes. All contact information provided shall also be maintained in accordance with our Privacy Policy.

Thank You! Your feedback has been submitted. Fisher Scientific is always working to improve our content for you. We appreciate your feedback.

For Research Use Only